蝶窦影像

一例霉菌性蝶窦炎的诊治曲折
图片尺寸2000x2000
一例霉菌性蝶窦炎的诊治曲折
图片尺寸2000x2000
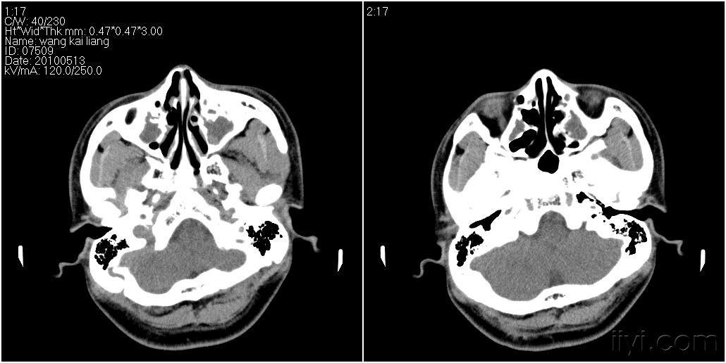
男性27岁患者要求头颅扫描发现蝶窦病变
图片尺寸1030x516
蝶窦水平
图片尺寸1080x810
我把我的蝶窦ct贴上来吧!
图片尺寸841x682
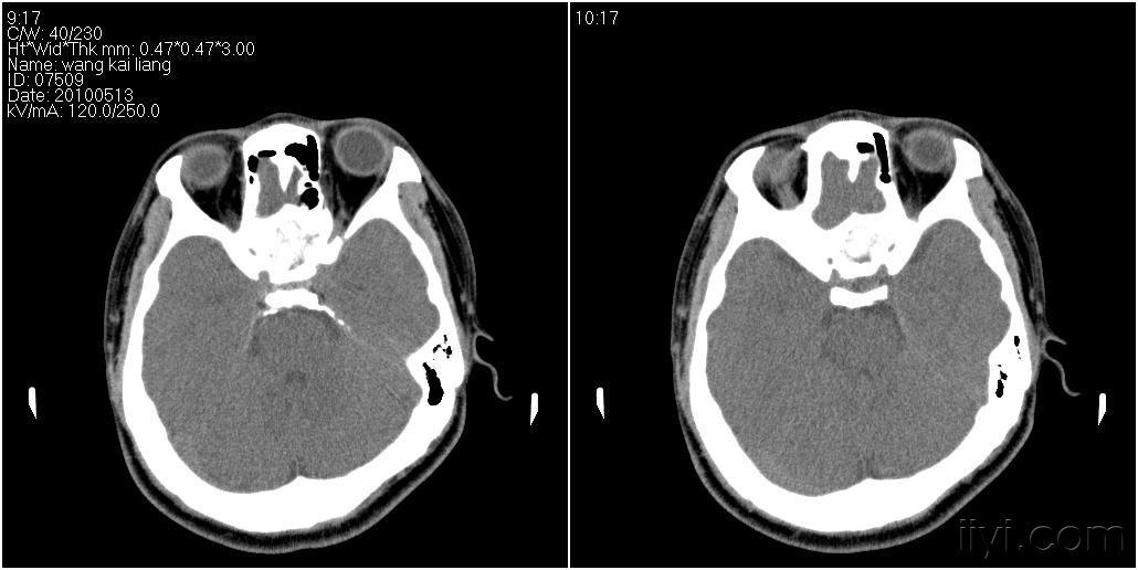
男性27岁患者要求头颅扫描发现蝶窦病变
图片尺寸1030x516
ct mr能确定蝶骨体内病变性质均匀一致吗?
图片尺寸640x467
有一种头痛叫做蝶窦炎症
图片尺寸600x521
帮忙分析一下蝶窦信号 - 医学影像学讨论版 - 爱爱医医学论坛 - 爱爱
图片尺寸512x512
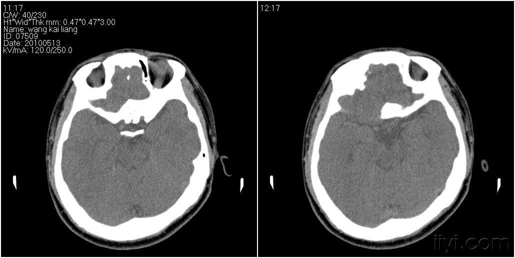
男性27岁患者要求头颅扫描发现蝶窦病变
图片尺寸1030x516
窦完, 8下%位于对称分不或无分隔窦下,隔31 %内窦6,%壁上如缺与蝶窦
图片尺寸1080x810
mri实图:蝶窦囊肿?请各位老师进来见图片
图片尺寸675x688
男性27岁患者要求头颅扫描发现蝶窦病变
图片尺寸1030x516
男性27岁患者要求头颅扫描发现蝶窦病变
图片尺寸1030x516
男性27岁患者要求头颅扫描发现蝶窦病变
图片尺寸1030x516
再入海绵窦——经内镜扩大经鼻蝶入路切除侵袭性垂体瘤
图片尺寸512x512
头痛有可能是真菌性蝶窦炎_鼻窦炎_鼻窦炎症状表现 - 好大夫在线
图片尺寸317x324
术后ct提示蝶窦内肿瘤全切
图片尺寸903x816
图3筛窦黏液囊肿,蝶窦潴留囊肿是常见病.
图片尺寸800x400
男性27岁患者要求头颅扫描发现蝶窦病变
图片尺寸1030x516