蠕动波

蠕动波
图片尺寸1366x868
心房波已经完全淹没甚至消失在心室的蠕动波里面.
图片尺寸972x561
在声学测量中,经常会遇到两个传播方向相同,频率相近的声波.
图片尺寸411x308
频率高于100khz的电磁波可以在空气中传播,并经大气层外缘的电离层
图片尺寸627x522
浅谈机械振动的控制
图片尺寸640x344
75层深圳赛格大厦摇晃15000人撤离真是5级风惹祸
图片尺寸502x502
相持不下的争论:脑波,有用吗?
图片尺寸1080x710
2 电磁波及其传播课件 苏科版ppt
图片尺寸1080x810
多图了解胃肠道的正常表现和基本病变
图片尺寸900x592
慧悦视力疗愈脑波耳机(激活眼睛自愈潜能,安全,高效,快捷疗愈眼部视力
图片尺寸800x694
5种不同类型脑波,有着不同的作用你知道吗?
图片尺寸640x444
其它 不为人知的身体小秘密 写美篇食物进入胃内后,胃蠕动就像波浪一
图片尺寸1999x1500
人类首次测得黑洞边缘偏振信息 解释黑洞如何"吞噬"物质并发出喷流
图片尺寸627x522
原创微信女生声日常说话语音包
图片尺寸1200x938
intothewave
图片尺寸540x540
与am不同的是,在振幅调制模式下,调制后的波形与原始信息在呈现相似的
图片尺寸640x500
线性对流方程,按照特征线线性地传播的波
图片尺寸1120x840
单自由度振动模型脉冲响应信号波形
图片尺寸1080x810
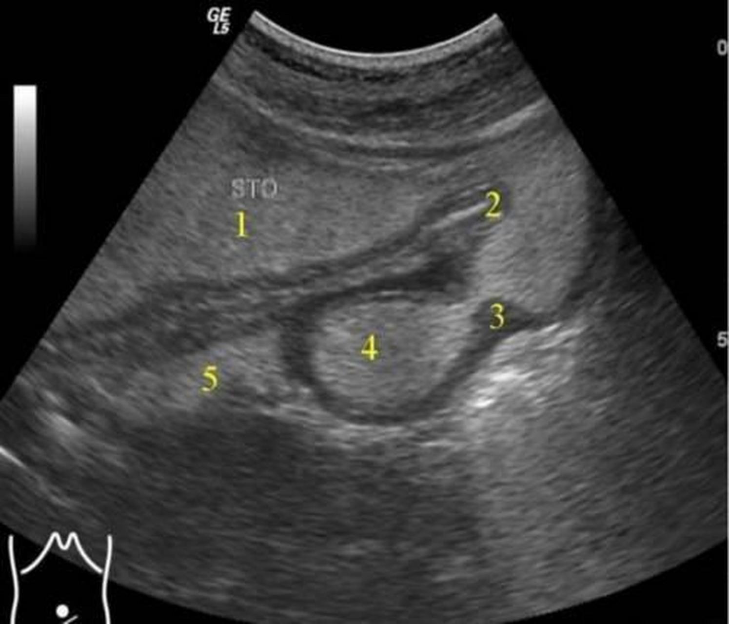
(6)蠕动:一般可同时见三个蠕动波,胃窦为整体向心性收缩
图片尺寸640x333
科普知识竞赛#胃肠型和蠕动波检查是指通过检查胃肠型产生的蠕动波来
图片尺寸1495x1280