血管组织切片

血管_切片_微距_隔绝_白色背景_图片大全—全景创意图库(quanjing.
图片尺寸794x416
病理切片-动脉粥样硬化 诊断描述:低倍镜下可见血管内膜增厚,向血管
图片尺寸960x1280
【图解组胚】大中小动脉的玻片识别:都是动脉,咋这么不一样呢
图片尺寸1071x668
光显微镜下肌肉动脉的横断面,外部为结缔组织,中层为平滑的肌纤维
图片尺寸640x478
用静脉血管ppt课件ppt
图片尺寸800x600
生理生化与组织胚胎 -丁香园论坛
图片尺寸4080x3072
切面一侧为较正常的主动脉,一侧主动脉内膜不规则增厚,纤维组织增生
图片尺寸1966x1966
动静脉血管横切.jpg
图片尺寸2071x2029
动物组织学切片-新乡市求精教学仪器有限公司
图片尺寸1920x1920
显微镜下动脉,静脉横切面
图片尺寸1200x800
小动脉_有来医生
图片尺寸1600x930
显微镜下动脉,静脉横切面
图片尺寸1200x800
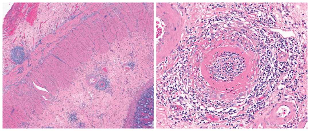
右半结肠切除标本,肠壁全层切片,可见累及小至中等动脉的血管炎
图片尺寸1080x459
血管平滑肌病理切片观察
图片尺寸3072x2304
请各位老师帮我看下这魔性的血管he片子
图片尺寸3264x2448
血管切片
图片尺寸1100x1100
病理学实验报告 心血管系统
图片尺寸972x559
心血管专业讨论版 热点5,许多动物病理切片观察,外膜众多神经束分布不
图片尺寸5184x3456
血管切片宏与红细胞,医学上准确的 3d 图照片
图片尺寸441x300
动物血管
图片尺寸1080x1440