补牙z250

海瑞齿科3m进口通用型复合树脂补牙z250补牙
图片尺寸751x750
尤其是做常见诊疗项目收费亲民,目前做美国3m-z250树脂补牙收费一般在
图片尺寸500x327
补虫牙用的美国3m树脂z350和z250的区别除了价格还有什么
图片尺寸600x223
美国3m树脂补牙z250和z350区别大吗做3mz250树脂补牙怎么样
图片尺寸635x289
3m树脂补牙材料z250和z350,p60有什么区别?补牙和贴面哪个好?
图片尺寸500x412
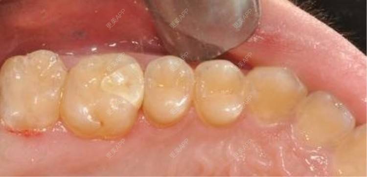
更美用户dmn2eggcaj的补牙日记
图片尺寸750x375
树脂补牙250和350区别大吗补牙3m树脂z350与z250哪个好
图片尺寸500x467
呼和浩特补牙价格表
图片尺寸600x396
补牙用3m树脂z250与z350哪个材料好价格分别是多少
图片尺寸650x492
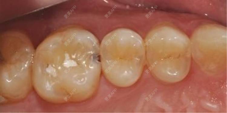
更美用户dmn2eggcaj的补牙日记
图片尺寸750x362
分享南宁补牙收费标准补牙多少钱一颗牙每家口腔都不一样
图片尺寸500x348
3m树脂补牙z250
图片尺寸3333x2500
补牙价格的目前市面常见的补牙材料主要为z250/z350/z350x/p60.
图片尺寸400x311
颗)→内窥镜检查→窝洞填充(单颗补牙)(填充物为:美国进口3mz250树脂)
图片尺寸790x591
美国3mz250xt树脂补牙限首颗
图片尺寸2500x3333
3m树脂补牙材料z250和z350,p60有什么区别?补牙和贴面哪个好?
图片尺寸500x500
进口3mz250树脂补牙套餐
图片尺寸450x254
1月补牙病例
图片尺寸500x612
像美国进口的3m树脂补牙价格就要在200元左右了,还有像z250树脂,z350
图片尺寸500x260
为啥价格区间这么大呢,3m树脂补牙材料型号有唯美,z250,z350,p60和p90
图片尺寸499x271