被动前折

(图片)手术治疗前臂双骨折 - 好大夫在线
图片尺寸1600x1200
经典柔术 被动前折_百度视频搜索
图片尺寸352x234
柔术三折绝活表演厉害的小姑娘是个好苗子
图片尺寸720x1280
儿童四肢骨折莫惊慌,外二微创技术来帮忙.
图片尺寸1920x1080
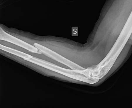
前臂中段开放性双骨折
图片尺寸1152x864
有图有真相系列:髓内钉治疗前臂骨干骨折 - 丁香园 - 上海开为医药
图片尺寸450x369
治疗小儿骨折如此"简单"
图片尺寸1440x1080
一例小儿前臂骨折
图片尺寸2592x1944
儿童前臂不稳定双骨折这样做!很多医生都觉得很受用!
图片尺寸750x1000
小儿前臂双骨折
图片尺寸2560x1920
中国柔术美女秀柔韧完爆体操
图片尺寸1024x683
儿童前臂骨折微创治疗--三亚市中医院骨四科
图片尺寸4029x3021
前臂双骨折ppt
图片尺寸1080x810
远端髓内针折弯剪断后效果,体表探查无隆起
图片尺寸1233x1897
儿童前臂不稳定双骨折这样做!很多医生都觉得很受用!
图片尺寸1280x960
弹性髓内钉微创治疗儿童前臂双骨折
图片尺寸1230x660
前臂双骨折ppt
图片尺寸1080x810
我院骨二科完成首例弹性髓内钉治疗儿童右前臂双骨折!
图片尺寸1080x1439
治疗小儿骨折如此"简单"
图片尺寸1440x1080
一例陈旧性儿童前臂双骨折的治疗
图片尺寸750x1000