视网膜变薄

豹纹状眼底:由于视网膜变薄,眼底略呈暗灰色,橘红色大血管层血管暴露
图片尺寸2048x1528
度数越高,眼球前后径(眼轴)越长,视网膜也随之被拉薄,容易发生视网膜
图片尺寸1080x759
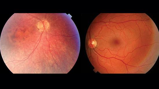
两者的视网膜对比,lca患者的血管组织更少,视网膜更薄,黄斑有所变化
图片尺寸550x310
高度近视没有特定的起始年龄和稳定年龄家长该如何避免
图片尺寸1270x486
眼白不白了要小心
图片尺寸1080x503
高度近视视网膜脱落的案例多吗什么样的剧烈运动不能做
图片尺寸2048x1535
【眼底病讨论】讨论一下这个眼底改变!
图片尺寸640x485
的眼底照片这是没有豹纹状的正常眼底照片豹纹状眼底:由于视网膜变薄
图片尺寸2048x1536
无意发现单眼黄斑区神经纤维层变薄,求诊疗思路
图片尺寸1080x1440
近视度数600度以上者需注意眼底变化,定期到医院做眼科检查!
图片尺寸1000x788
近视眼的人眼轴越来越长就像气球越吹越大,眼球壁也会越变越薄,视网膜
图片尺寸640x429
世界对15岁的我如此模糊,因为我眼底有个小洞
图片尺寸874x560
白内障,晶状体脱位,玻璃体混浊,视网膜变性,脉络膜萎缩,巩膜萎缩变薄
图片尺寸411x334
脱离,裂孔当近视度数增长,眼球增大的时候,往往就会伴有视网膜变薄
图片尺寸980x743
视网膜脱落了手术之后还能恢复到以前的状态吗
图片尺寸602x436
病理性近视:视盘的倾斜和周围的萎缩弧,黄斑区的视网膜脉络膜萎缩灶
图片尺寸700x585
因为高度近视致眼轴增长,视网膜变性,变薄,产生裂孔.
图片尺寸1555x3028
(近视,弱视,散光,视力矫正 写美篇后极部呈现广泛地图样 视网膜-脉络
图片尺寸686x1083
视网膜脱落特征图片
图片尺寸668x500
黄斑裂孔性视网膜脱落图片
图片尺寸606x500