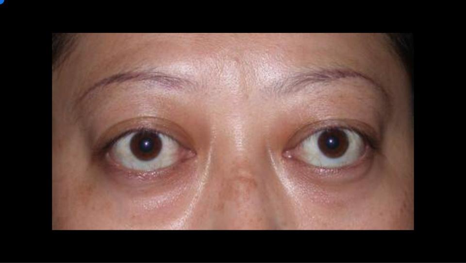
许率智甲亢照片

好痛苦,为什么我会得甲亢突眼?
图片尺寸640x245
【案例】6岁孩子甲亢久治不愈,儿童甲亢更难治?其实不然
图片尺寸1080x1728
甲亢突眼_手术_缓解方法 - 好大夫在线
图片尺寸468x327
exid许率智
图片尺寸580x773
exid 许率智
图片尺寸940x1410
眼眶减压手术术后分享真的回退了很多
图片尺寸1080x1439
甲亢突眼_手术_缓解方法 - 好大夫在线
图片尺寸412x362
甲亢8年,今天终于把碘131做啦!
图片尺寸1080x1439
甲亢突眼手术-你不知道的故事
图片尺寸960x541
笑靥如花许率智
图片尺寸1024x1024
惨遭甲亢毁容患者记录自己半年突眼辛酸
图片尺寸660x1009
许率智得甲亢导致眼球凸起真的吗?许率智什么时候回归
图片尺寸688x1024
exid率智健康好转参与primary新曲合唱
图片尺寸500x750
分享四张照片,分别是我2021年12月确诊甲亢以来的四个阶段性照片.
图片尺寸1080x1439
韩国女团exid成员许率智最新杂志写真曝光
图片尺寸1044x1400
exid 许率智
图片尺寸400x600
许率智
图片尺寸512x760
是甲状腺结节吗?
图片尺寸327x279
星闻exid成员许率智担心健康恶化最终决定不参加回归放送活动
图片尺寸560x841
出现了发热,眼突等问题,许率智经过医院详细检查,确诊得了甲亢,这种病
图片尺寸554x775