质粒dna酶切电泳图分析

毛细管凝胶电泳法cgelif对质粒dna的纯度分析
图片尺寸1080x606
核酸提取 - dna/rna提取 - 合肥知恩生物
图片尺寸750x674
酶切后载体质粒电泳图
图片尺寸665x1195
1-gfp重组质粒酶切;3:pcdna3.
图片尺寸1575x1191
图2 质粒dna电泳图
图片尺寸453x397
请帮忙分析这个质粒dna酶切的电泳图
图片尺寸746x445
实验诊断学之肝功能常用的实验室检查 正常血清蛋白电泳示意图
图片尺寸1080x810
3-重组质粒px-glta单酶切产物电泳图谱; 4-重组质粒px-glta双酶切产
图片尺寸1890x1181
双酶切鉴定结果
图片尺寸1280x1024
方法提取的质粒dna浓度高,质量好,能够符合后续酶切等常规实验的要求
图片尺寸1000x1142
分析碱裂解法提取的质粒dna电泳图,m:puc19质粒作为marker,泳道1,2,3
图片尺寸596x420
点赞
图片尺寸3968x2976
图 蜡样芽胞杆菌多重pcr扩增产物电泳图谱
图片尺寸1890x1382
核酸基因技术 酶切和电泳
图片尺寸843x739
dna凝胶电泳图ppt
图片尺寸1080x810
用于基因分型检测东南亚缺失型α地中海贫血的方法及试剂盒与流程
图片尺寸986x616
dna电泳图分析求助
图片尺寸508x467
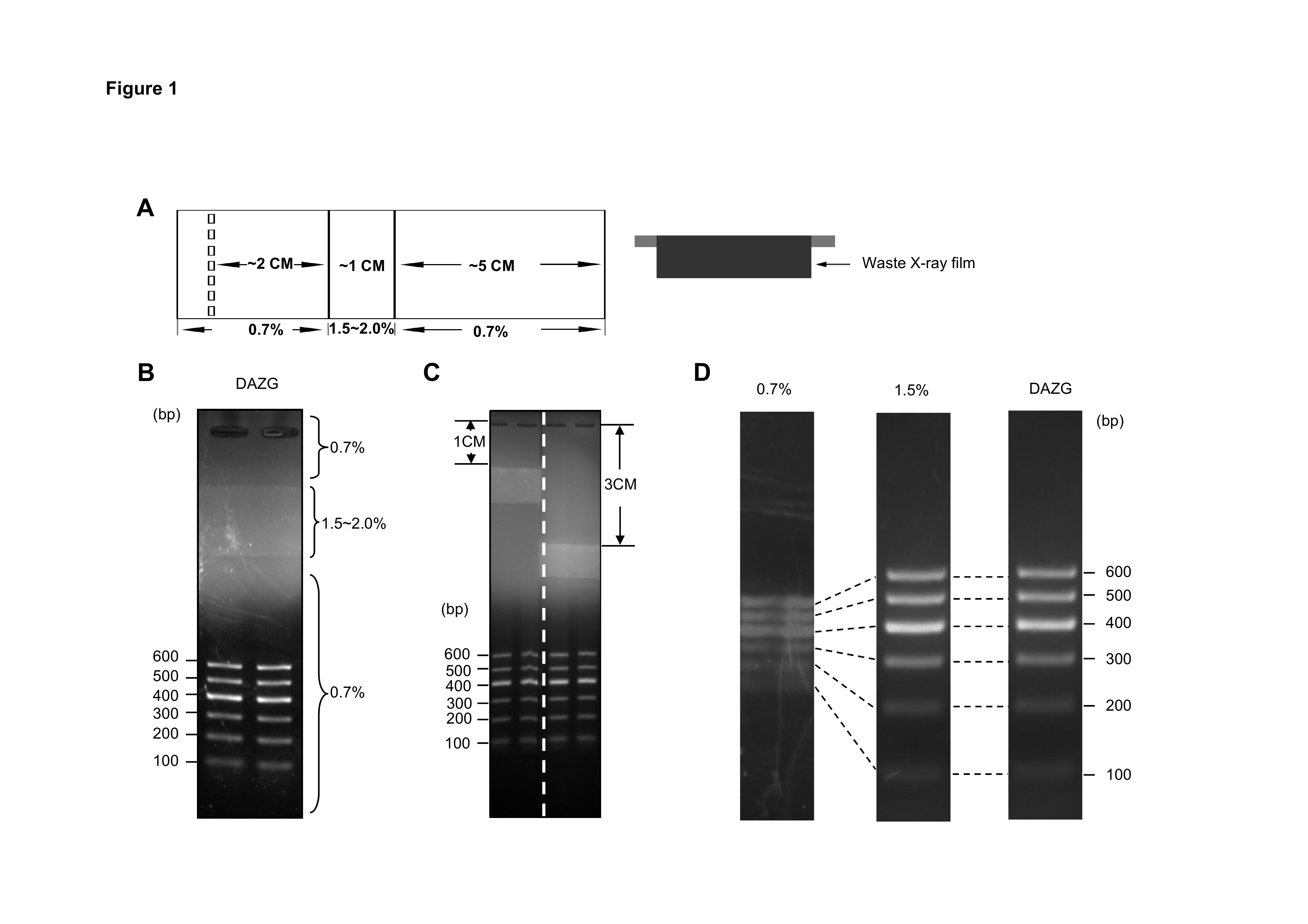
今日动态 正文 方法改进:在电泳中,使用不连续琼脂糖区带电泳,即可以
图片尺寸5847x4132
琼脂糖电泳进行鉴定质粒dna 时,多数情况下你能看到三条带,但千万不要
图片尺寸844x796
由图2可知,陕西佳县,府谷,大荔,渭南枣花蜜均对·oh诱导的pbr322质粒
图片尺寸550x659