贴面

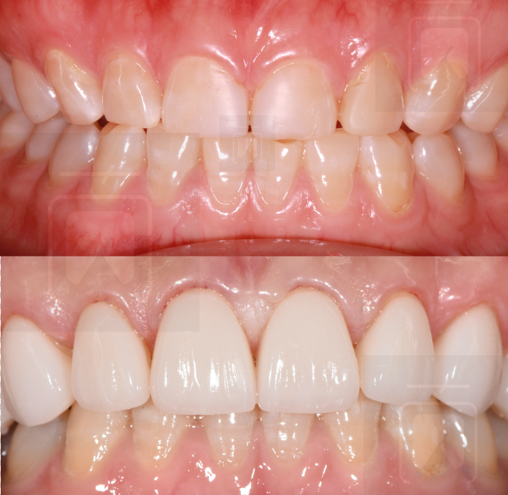
牙齿美容,百奥美全锆贴面还你最美笑容!
图片尺寸1000x750
半终身的牙齿07贴面
图片尺寸570x759
有没有北京的朋友分享一下哪里做的全瓷贴面比较好怎么选医生
图片尺寸1079x1383
美白牙齿做牙贴面可以维持多久有后遗症吗费用一般多少钱
图片尺寸690x457
精诚口腔美学贴面作品#牙医日常 #全瓷贴面 - 抖音
图片尺寸1920x1080
水贴面图片
图片尺寸450x300
全瓷贴面2
图片尺寸1600x899
超溥瓷贴面,让你笑容更值钱
图片尺寸972x816
什么是贴面修复
图片尺寸960x730
前牙间隙 无创贴面修复 - 好大夫在线
图片尺寸702x1585
在厦门做一口牙贴面多少钱?
图片尺寸400x400
牙贴面要把牙齿磨小吗?要磨多厚的牙齿呢?
图片尺寸2000x3000
北京美牙复合瓷贴面全科培训班
图片尺寸700x700
榆林李华口腔欢迎您的光临之瓷贴面
图片尺寸2399x999
搞到宁波市牙科医院牙齿瓷贴片价格表且明白宁波全瓷贴面多少钱一颗
图片尺寸503x600
开封美牙贴面培训怎么加盟
图片尺寸1064x1064
水贴面图片
图片尺寸450x300
树脂贴面
图片尺寸598x257
瓷贴面的缺点不是脆弱其实是
图片尺寸727x708
树脂换全瓷贴面 高级感永远体现在细节 自然纹理,自然通透 不是用
图片尺寸960x1280