足舟骨结节位置图片
 - 足舟骨缺血坏死ppt课件图片尺寸800x600
 - 详解小儿扁平足|舟骨|足部|治疗|扁平足|足弓|-健康界图片尺寸800x617
 - 足副舟骨(即足舟骨之子骨)是舟状骨结节部第二化骨中心的先天性变异.图片尺寸513x605
 - 别再走弯路了最全功能性扁平足治疗方案分享图片尺寸1080x608
 - 问题页图片尺寸500x375
 - 足舟骨突出疼痛该怎么治疗图片尺寸1000x806
 - 足舟骨科普篇图片尺寸1080x608
 - 另外,舟骨结节肥大凸起和鞋的边缘长期摩擦和碰撞,会引起滑囊炎,胫后图片尺寸526x533
![左足舟骨病变,您考虑是啥? [病例帖]](https://imgs.wantubizhi.com/img/735A5D1F980B52A636CC46F12F2D1A737C2A898C797E84FF4D8C25186082B074081370FAFF35C777320835A8D99FF6C1F1D0BE88AC6C4F0E4B27E0BF24E02C066DE52B3FBEA72DF757BEA4C48533A6B9FD44C1E8394CF96D1BD42B83A6EB88B7) - 左足舟骨病变,您考虑是啥? [病例帖]图片尺寸1691x2000
 - 足舟骨形态 外侧 背侧 内侧 下缘 舟骨结节 鹰嘴图片尺寸1080x810
 - 足舟骨图片尺寸686x600
 - 足舟骨发育不良会得扁平足,站久走久脚会痛.图片尺寸500x564
 - 左足足舟骨是什么样子图片尺寸500x452
 - 如何判断是否为舟骨的异常增大图片尺寸960x1280
 - 生病一个月了,说说我一言难尽的看病经历图片尺寸1080x1283
 - 怎么会肿起来呢?""副舟骨是什么?"结果为孩子有扁平足,双足内图片尺寸552x275
 - 足的副舟骨是舟骨结节部第二化骨中心的先天异常,在舟骨结节处形成一图片尺寸1080x1022
 - 【影像必备】踝关节mri断层解剖(图文详解)图片尺寸620x527
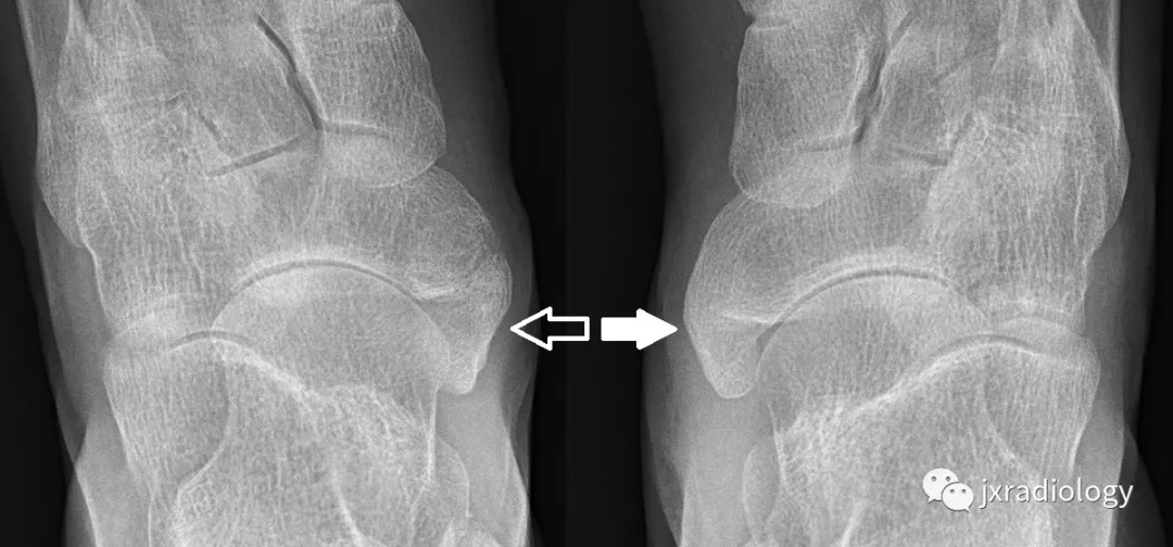
 - 副舟骨与舟骨结节融合在一起,导致舟骨结节明显突出,约占4~21%.图片尺寸1080x504
 - houston rockets图片尺寸400x261