足ct平扫

图片是患者ct平扫和多期增强扫描(动脉期,静脉期,平衡期或延迟期)的
图片尺寸1080x1013
胸部ct平扫01.jpg
图片尺寸1500x1777
ct平扫
图片尺寸491x421
胸部ct平扫示左下肺占位肺癌
图片尺寸1080x1121
女性,无任何自觉症状,体检肺ct平扫 增强
图片尺寸1660x1505
图3 ct平扫 增强
图片尺寸2448x3264
胸部ct平扫示左下肺占位肺癌
图片尺寸1080x1121
胸部ct平扫
图片尺寸2000x2667
pet ct=真相!_病变_玻璃_显示
图片尺寸609x528
头ct平扫.jpg
图片尺寸2048x2048
胸部ct平扫图片金典
图片尺寸512x666
胸部ct平扫图片金典
图片尺寸512x666
分不清ct"平扫""增强"?去医院做ct检查的注意事项都在这里!
图片尺寸1038x779
67超急性期大面积脑梗死ct平扫表现
图片尺寸854x944![【读片】右下肺结节ct平扫 增强,病理结果已公布. [病例帖]](https://imgs.wantubizhi.com/img/A1A61BAA66193547F3A6DD7D8EE527E901CF7DC880CA49911EC03384CED65073A6EFCA093062951C217A61D4D78427C6043795B327C02EBFDB36EA7843DC462FE4ADAB57CC8E60695F83350E464472C089975F58377A11B23897AAADB552CCE5)
【读片】右下肺结节ct平扫 增强,病理结果已公布. [病例帖]
图片尺寸946x626
外院ct平扫
图片尺寸2000x2667![ct平扫 三期增强,这个纵隔占位有点难 [病例帖]](https://imgs.wantubizhi.com/img/735A5D1F980B52A636CC46F12F2D1A73DAC56B38B5AF597EE0E7C21DC12FE7EA952E0829EE6529233F199A170D96849E804839495D869A3D5E57DC2F2BC378FAA77C4E832C8AF7E35DDC5BCDFE4C1EDE9C21D8989F197CB7EF8783721C984D2B)
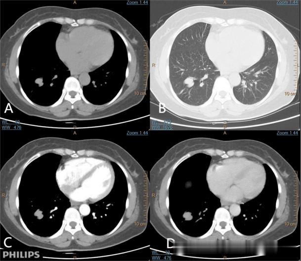
ct平扫 三期增强,这个纵隔占位有点难 [病例帖]
图片尺寸1080x1351
人的胸部ct结果,医生会在报告单中写平扫肺窗(肺窗主要显示肺部组织
图片尺寸992x744![ct平扫 三期增强,这个纵隔占位有点难 [病例帖]](https://imgs.wantubizhi.com/img/735A5D1F980B52A636CC46F12F2D1A7359AE4F6E10BEBBF69EA6AD9342A5DF46945E0E4BFBE8B2AE41A74CD0D1145CF9A5144F25A8981B345B59D66545E849A7058E02FF33A3180B89B5D02B43BDBE99DE4DBE85A9D8E635B6A56FDB9413DBE8)
ct平扫 三期增强,这个纵隔占位有点难 [病例帖]
图片尺寸1080x1395
胸部ct平扫示左下肺占位肺癌
图片尺寸1080x1121