踝关节置换

河南省首例国产人工踝关节置换术在信阳职业技术学院附属医院成功自主
图片尺寸1000x750
【探宝】寿命长,更舒适…全踝关节置换术假体又有新升级!
图片尺寸718x344
西京医院实施西北首例3d打印技术辅助下国产人工全踝关节置换术
图片尺寸930x977
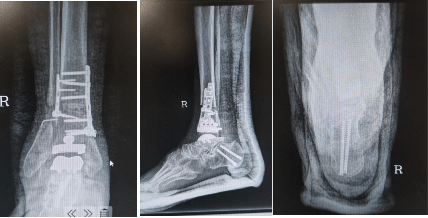
七年疼痛一朝除 重庆长城骨科医院成功开展院内首例踝关节置换术
图片尺寸4250x5667
急诊开放踝关节骨折脱位下胫腓联合修复重建时机及方式
图片尺寸4096x3072
护士配合下,成功为该患者实施了3d打印导板辅助双定制人工踝关节置换
图片尺寸847x432
重建置换术让踝关节焕发新生
图片尺寸1020x1472
西安市红会医院完成"双定制"全踝关节置换术
图片尺寸600x478
"为了保证全球首例3d打印距骨表面假体置换的成功开展,红会医院足踝
图片尺寸1600x1200
踝关节置换手术过程,3d演示.
图片尺寸1024x576
踝关节置换,x光检查图片下载
图片尺寸800x625
最新 踝关节置换手术步骤
图片尺寸1080x810
河南省首例国产人工踝关节置换术在信阳职业技术学院附属医院成功自主
图片尺寸497x497
西京医院实施西北首例3d打印技术辅助下国产人工全踝关节置换术
图片尺寸1080x597
西安市红会医院完成一例高难度踝关节假体置换术
图片尺寸660x324
河南省首例国产人工踝关节置换术在信阳职业技术学院附属医院成功自主
图片尺寸1000x1265
2024年,陈女士在我院成功地完成了左踝关节置换,因为左踝几乎长死且
图片尺寸1000x1200
全省首例!烟台山医院完成个性化3d打印假体踝关节部分置换术
图片尺寸402x451
王黎明,姚庆强共同为高女士进行计算机导航辅助下的人工踝关节置换术
图片尺寸932x686
获批fda!用于全踝关节置换
图片尺寸796x619