软垢

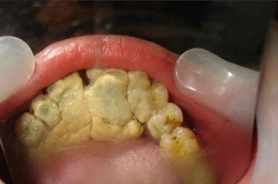
牙齿根部的黄白色软垢是什么爱牙网它是口臭的罪魁祸首
图片尺寸512x288
这几款过来人自用的牙粉简直是牙黄牙结石的救星!效果
图片尺寸960x636
为什么刷完牙牙齿表面还是有一层白的软垢?
图片尺寸1293x659
一,牙结石形成的原因首先,牙结石的"前身"是附在牙齿上的软垢,也就是
图片尺寸756x1163
牙科小知识
图片尺寸427x270
牙石是钙化的牙菌斑和软垢,沉积于牙面上,呈灰黄色,质地坚硬,表面粗糙
图片尺寸3000x2000
未成年的牙结石是乳白色的软垢,用牙刷或者牙线就可以清除掉,但是当它
图片尺寸800x569
小编仔细用器械刮掉软垢,发现方才显山露水的三个门牙都龋坏了,且龋坏
图片尺寸660x445
牙面上清洁不到的位的话,就会有牙菌斑,软垢,食物碎屑堆积,这些物质长
图片尺寸662x331
这些软垢不及时刷掉的话,就会慢
图片尺寸641x332
其实牙齿上的黄泥就是牙结石,只不过一开始是乳白色的软垢,后期经过
图片尺寸640x384
是不是为了清除牙面上沉积的食物残渣,软垢以及其中的牙菌斑,不仅清新
图片尺寸640x373
牙周和种植体周大量软垢
图片尺寸2000x1500
牙齿发黄靠牙膏刷牙是刷不白的,我以前不知道这个道
图片尺寸640x360
龈下结石牙结石最开始是乳白色的软垢,通过逐渐钙化变硬.
图片尺寸1280x618
洗牙前牙齿表面可见大量牙结石,软垢
图片尺寸1253x692
牙结石又叫牙石,由菌斑和软垢钙化而成,是一种沉积于牙面或修复体表面
图片尺寸434x292
就是在于是对口腔进行一次彻底清洁,清除牙结石,烟渍茶渍,软垢牙菌斑
图片尺寸872x407
就感觉嘴巴里原本的黏腻感消失了,牙根处的黄色软垢也全都被刷了下去
图片尺寸1280x775
牙结石是 沉积在牙齿表面的,已钙化的牙菌斑和软垢,牙结石形成之后很
图片尺寸720x765