软组织损伤能自愈吗

发生软组织损伤,置之不理可能会引起哪些后果?严重吗?
图片尺寸640x427
崴脚 #韧带损伤 家人们,咱就是说jio崴了已经俩月了还肿是为啥
图片尺寸1080x1056
也影响了免疫细胞的作用,当崴脚或者发生软组织损伤后,首先会出现炎症
图片尺寸660x441
心情还是很复杂的 前叉挫伤大概率自愈了 半月板前角二度损伤意料之中
图片尺寸1354x1280
软组织损伤你还在热敷吗
图片尺寸560x360
喜来健养生小课堂#喜来健#图文来了 #软组织损伤 - 抖音
图片尺寸1242x1935
崴脚-软组织损伤患者的康复经验0699
图片尺寸1080x1080
小腿软组织血肿,怎样促进下肢静脉回流
图片尺寸1200x1600
脚的软组织损伤会肿痛吗?
图片尺寸640x960
赶紧保存#图文来了 #喜来健#软组织损伤 - 抖音
图片尺寸1344x1784
运动损伤之开放性软组织损伤的处理
图片尺寸629x443
软组织损伤症状
图片尺寸640x349
常被用于跌打损伤,扭伤,挫伤所致腰腿痛,关节肿痛等闭合性软组织损伤
图片尺寸640x506
活血消肿乳膏治疗闭合性软组织损伤
图片尺寸560x340
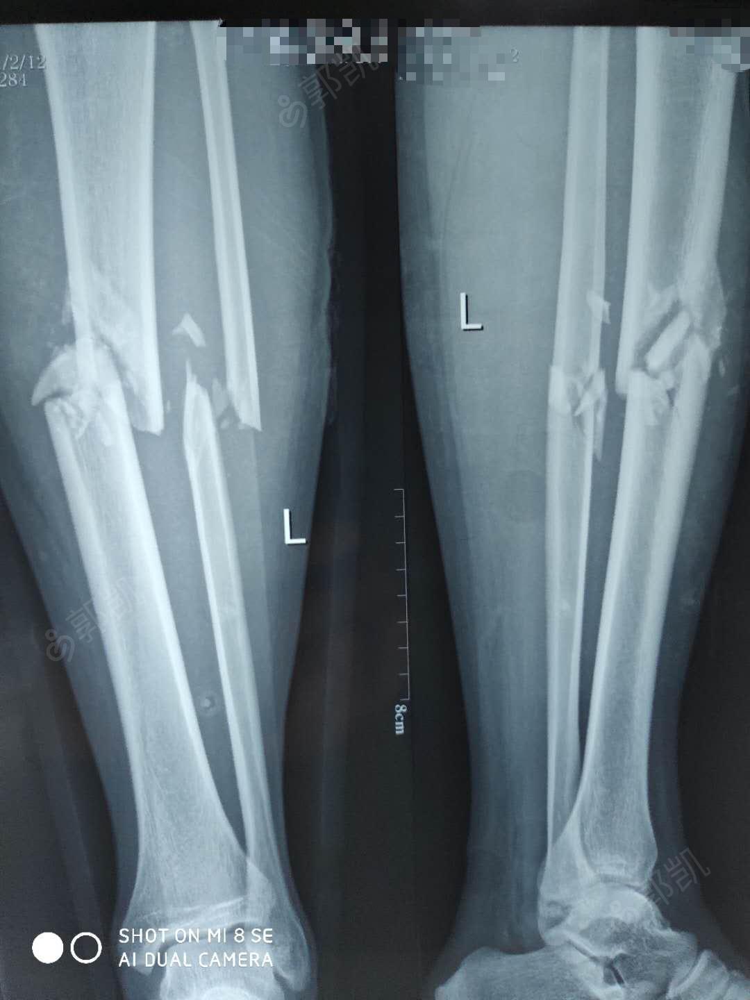
左胫腓骨骨折 2.多处软组织挫伤
图片尺寸1080x1440
软组织损伤的康复护理常规 - 好大夫在线
图片尺寸4032x3024
无忧文档 所有分类 教学研究 运动损伤防护及运动 -1ppt 软组织受伤
图片尺寸1080x810
踝关节软骨损伤部分与遗传因素有关及时治疗预防病情恶化
图片尺寸640x480
胸壁软组织损伤的治疗
图片尺寸519x291
骨折软组织损伤腰间盘突出门诊病假病历住院出院病历医疗收费票据
图片尺寸660x880