软腭上长水泡图片

软腭上面有许多小水泡. 咽喉疼痛,去第二医院说没什么问题.
图片尺寸500x373
(软腭处疱疹,图片来自网络) 疾病治疗和自然病程
图片尺寸640x379
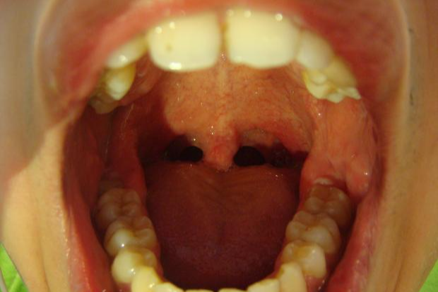
软腭处见一肿物,怎么办?
图片尺寸1600x1200
近距离拍摄水痘病毒或水痘水泡疹和丘疹在儿童嘴里的软腭皮肤病学概念
图片尺寸1600x1225
和软腭有疱疹外,孩子的口唇,手和脚,包括肛门周围,也会长有透明小水泡
图片尺寸512x504
软腭黏膜潮红图
图片尺寸750x500
喉咙痛然后照镜子软腭左边红肿了.
图片尺寸1920x2560
疾病开始时,是小丘疹,在1天内转为1-2mm小水泡,周围有红斑状晕环,但是
图片尺寸800x539
多见于扁桃体前部,扁桃体,软腭,悬雍垂,舌部等,由于水泡会破溃成溃疡
图片尺寸591x437
我两侧软腭一个一个黑色点是什么东西啊,还有上颚的小颗粒
图片尺寸1024x768
主要症状就是感冒软腭有红色斑点疼痛干痒难受
图片尺寸358x294
是一种由白色念珠菌等真菌引起的口腔黏膜炎症,好发于宝宝的口唇,软腭
图片尺寸981x591
游离前臂皮瓣修复软腭癌术后缺损一例
图片尺寸5120x3840
腭咽闭合不全的患者,常表现为发音不清的症状,多由软腭病变导致
图片尺寸620x414
软腭硬腭都发黄 还有点痛怎么回事 求救
图片尺寸375x500
引起的白色斑块,犹如雪花层层叠叠,多发于颊舌,软腭及口唇部的粘膜上
图片尺寸400x300
软腭硬腭都发黄 还有点痛怎么回事 求救
图片尺寸375x500
口腔念球菌感染症状,好发部位为颊,舌,软腭
图片尺寸500x330
疼痛性丘疹-水疱-溃疡性口腔黏膜疹:体格检查可见到散布于软腭,悬雍垂
图片尺寸458x305
软腭
图片尺寸268x201