软骨膜

文档 所有分类 医药卫生 基础医学 骨和软骨ppt 概括全面 (二)软骨膜
图片尺寸1215x810
软骨磨损后如何才能康复?
图片尺寸640x367
精品改革组织学实验课考试促进学生实际能力培养.ppt
图片尺寸960x720
关节再生的必要元素— 葡萄糖胺 (glucosamine) 和 软骨素
图片尺寸761x719
同济医科大出品 软 骨 软 骨 软骨膜(perichondrium) 薄层致密结缔
图片尺寸1080x810
软骨内成骨
图片尺寸1029x1645
在膜性骨的基础上形成与成体骨形状相似的软骨性骨,表面复以软骨膜
图片尺寸523x345
奈特图谱丨骨形成代谢性骨病
图片尺寸773x1182
像我们吃的筒子骨,上面有一层白色的片状膜,软软滑滑的,那就是软骨.
图片尺寸716x426
但是关节软骨属透明软骨,其表面无软骨膜.
图片尺寸640x387
外膜:较厚,气管主要含c字形透明软骨环,软骨环的缺口处为气管膜性部
图片尺寸413x335
软骨膜
图片尺寸1080x810
组织学与胚胎学--软骨与骨 ppt课件
图片尺寸1080x810
气管环,平舌骨下缘切断带状肌翻向下,于中线或稍偏健侧切开甲状软骨膜
图片尺寸366x231
学课件 软骨ppt 组织学与胚胎学课件 软骨 (3)软骨膜(perichondrium)
图片尺寸1080x810
软骨膜
图片尺寸1080x810
床板问题,我们得骨膜层位于人体最深层次,是一层厚重得结缔组织软骨膜
图片尺寸603x346
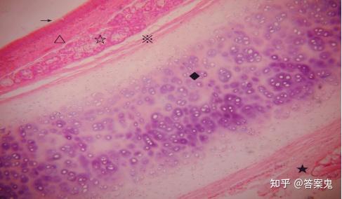
由透明软骨(◆)及结缔组织(★)构成的外膜,并可见明显的软骨膜(※)
图片尺寸487x284
三角窝线,用针头或套管针做标记,耳廓后表面用亚甲蓝在软骨膜表面标记
图片尺寸640x941
人体喉软骨连结示意图-人体解剖图
图片尺寸623x380