轴位

高清颅脑mri最全轴位影像解剖人手一册
图片尺寸1080x1712
散光轴位测试图
图片尺寸783x717
颅脑ct轴位断层美图分享
图片尺寸906x495
髌骨轴位x线片的结构化报告丨诊断和定量测量要点
图片尺寸1027x1593
请教跟骨轴位片怎么拍的?上网查看未查到,多谢
图片尺寸640x480
高清颅脑mri最全轴位影像解剖人手一册
图片尺寸660x1168
膝关节轴位x线解剖图片
图片尺寸514x245
轴位扫查 非轴位扫查
图片尺寸1080x810
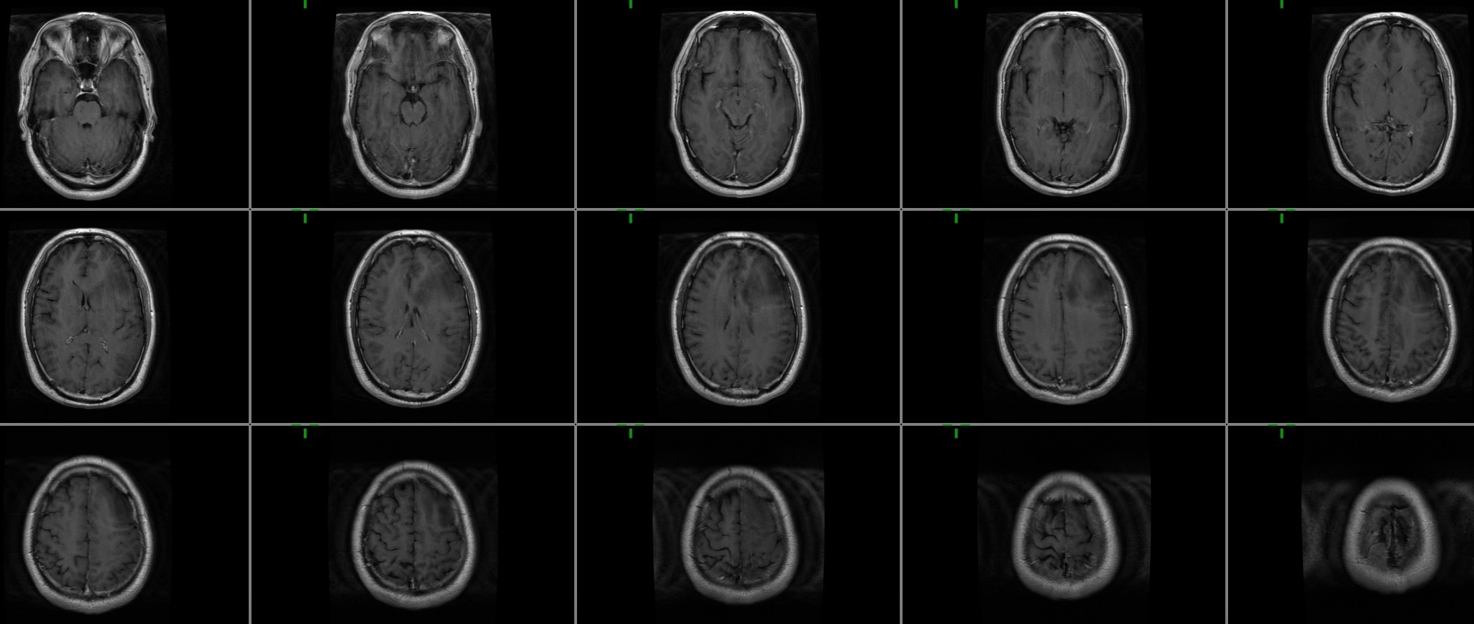
术前t1增强轴位.jpeg
图片尺寸2110x894
碎片位移 (轴位ct) 1分-碎片位移较小 2分-碎片位移至少2mm
图片尺寸1080x810
跟骨术中的轴位照片方法
图片尺寸3264x4624
高清颅脑mri最全轴位影像解剖人手一册
图片尺寸1080x1913
高清颅脑mri最全轴位影像解剖人手一册
图片尺寸1080x1895
轴位大就是散光散光的问题看过来
图片尺寸1080x461
高清颅脑mri最全轴位影像解剖人手一册
图片尺寸660x1175
可以从harris 轴位片上观测到跟骨关节面的 平整情况,并能观察跟骨
图片尺寸1080x810
颞骨正常ct解剖-轴位
图片尺寸963x1280
腕关节磁共振(mri)解剖—轴位
图片尺寸1012x681
轴位
图片尺寸1080x810
散光轴位5和180相差大吗? - 知乎
图片尺寸2788x577