轴位mri

术前核磁共振(轴位)
图片尺寸1838x1403
磁共振轴位t1像
图片尺寸1200x1600
腰椎mri 轴位像
图片尺寸2116x1200
颅脑轴位mri解剖
图片尺寸800x1132
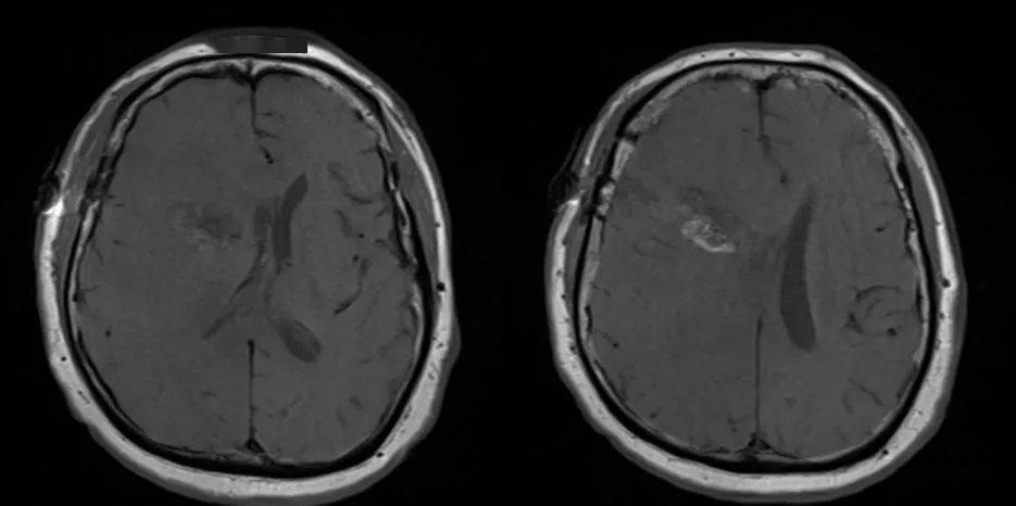
头颅mri增强 轴位片
图片尺寸950x813
图4. 脑桥水平轴位t2-flair mr成像
图片尺寸570x580
轴位平扫ct显示鞍上区肿物伴钙化,与颅咽管瘤表现一致.
图片尺寸443x478
高清颅脑mri最全轴位影像解剖人手一册
图片尺寸1080x1913
术前mri平扫---t1 轴位 c
图片尺寸1099x528
中枢神经系统影像解剖图谱连载3腰椎mri概论t1wi轴位解剖图
图片尺寸1080x670
轴位增强
图片尺寸2139x1200
中枢神经系统影像解剖图谱连载3腰椎mri概论t1wi轴位解剖图
图片尺寸1080x619
图5 术前mri轴位(t2 flair):中央前回及其前 部可见fcd
图片尺寸550x379
高清颅脑mri最全轴位影像解剖人手一册
图片尺寸660x1174
高清颅脑mri最全轴位影像解剖人手一册
图片尺寸1080x1921
人脑轴位mri扫描
图片尺寸720x406
平扫mri轴位t1相上可见手术通道及填充其内的止血纱.
图片尺寸935x466
颅脑断层解剖轴位
图片尺寸1080x1284
头颅mri轴位t2 flair增强后影像▼根据以上临床表现及辅助检查,最有
图片尺寸1080x532
正常垂体的mri表现
图片尺寸640x1177