轴索损伤

弥漫性轴索损伤ppt课件分享
图片尺寸832x561
磁共振显示脑组织弥漫性轴索损伤
图片尺寸640x853
弥漫性轴索损伤 1 例
图片尺寸615x750
弥漫性轴索损伤ct表现所见!
图片尺寸2200x1650
病例讨论弥漫性轴索损伤
图片尺寸1080x810
突发昏迷:大脑弥漫性轴索损伤
图片尺寸628x800
病例回顾------弥漫性轴索损伤(diffuse axonal injury,dai)影像学及
图片尺寸1127x764
重度弥漫性轴索损伤
图片尺寸3024x4032
弥漫性轴索损伤——一个我关注了很久的话题
图片尺寸630x718
病例讨论弥漫性轴索损伤
图片尺寸1080x810
车祸伤后昏迷8小时;胼胝体非出血性弥漫性轴索损伤
图片尺寸1080x810
科学网—弥漫性轴索损伤昏迷合并下肢瘫痪怎么办? - 赵东升的博文
图片尺寸1917x1161![【病例讨论】弥漫性轴索损伤?有图有真相! [病例帖]](https://imgs.wantubizhi.com/img/A1A61BAA66193547F3A6DD7D8EE527E92E01388039D3A970FFF557F5AA542F4D587C9E33B7C9FCEA38AA93B94F4D1E946B927FB0D46EFC496AD8CED5B57C028B75F6FECC32DD96D8C42C7281D4227735CC6E42924F071FD04080E6E9259386D3)
【病例讨论】弥漫性轴索损伤?有图有真相! [病例帖]
图片尺寸1246x594
脑弥漫性轴索损伤_第3页
图片尺寸1500x1125
弥漫性轴索损伤相关讨论(原创)
图片尺寸3264x2448
弥漫性轴索损伤及皮质下损伤
图片尺寸674x537
昏迷促醒系列:选对方法坚持治疗弥漫性轴索损伤昏迷病人能走路了
图片尺寸1600x1299![【读片】磁敏感序列(swi)对弥漫性轴索损伤(dai)的诊断 [病例帖]](https://imgs.wantubizhi.com/img/735A5D1F980B52A636CC46F12F2D1A735C5D7BF20869065997BF388422FF5D624FABC76E8A16F64248BC232CA732476E176F00894237FC858D40113B87E391974BE0A0D1C3EABB0F2A99732D813DAD7662D04B557085FF84BB5169BF7A1AD52E)
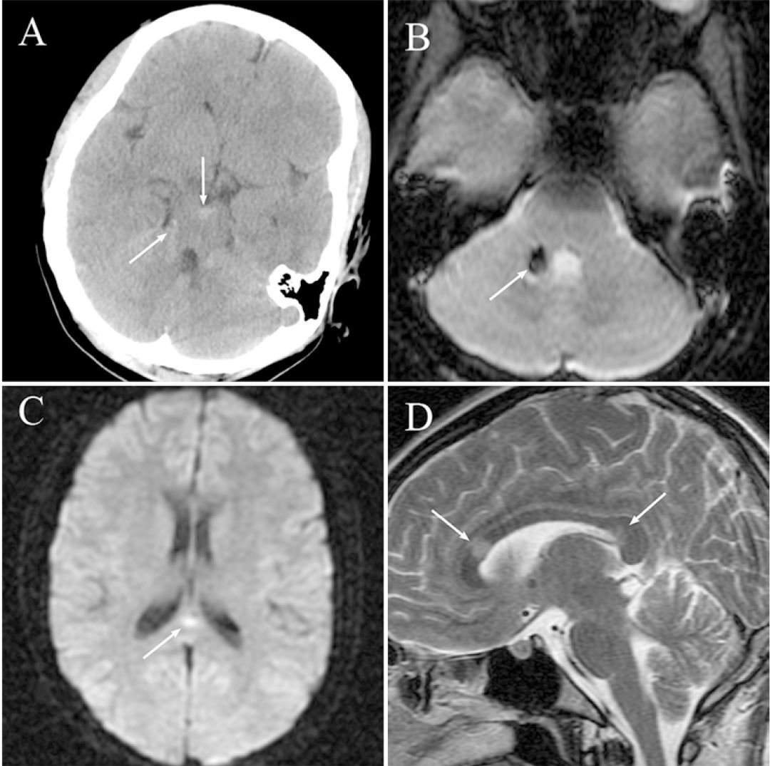
【读片】磁敏感序列(swi)对弥漫性轴索损伤(dai)的诊断 [病例帖]
图片尺寸2058x3086
中线部位tsah提示重型弥漫性轴索损伤
图片尺寸1080x1075
弥漫性轴索损伤相关讨论(原创)
图片尺寸3264x2448