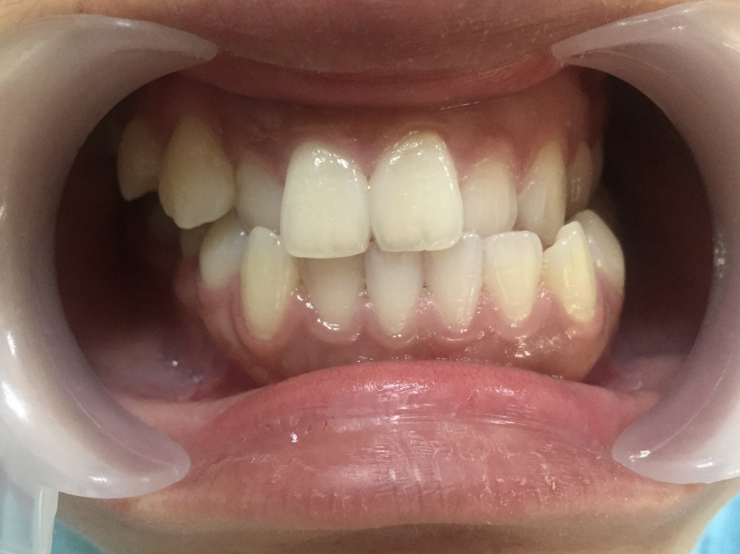
轻微偏颌

偏颌说2
图片尺寸1440x1080
医生您好,我是轻度偏颌,牙齿总体向左偏转1-2毫米,咬合面左
图片尺寸768x1024
偏颌说2
图片尺寸2410x1807
轻微偏颌,最终下定决心接受了术前正畸【自己的选择,跪着都要坚持下去
图片尺寸2160x3840
偏颌77地包天
图片尺寸1080x1439
这种情况是不是骨性偏颌,可以正畸吗?
图片尺寸2448x1969
偏颌畸形
图片尺寸1572x533
比较厉害的偏颌改善手术,如何你的情况并不是很厉害,属于轻微偏颌正畸
图片尺寸400x224
这种情况是不是骨性偏颌,可以正畸吗?
图片尺寸2349x1856
这种情况是不是骨性偏颌,可以正畸吗?
图片尺寸2448x1717
【病例讨论】偏颌病例 - 口腔专业讨论版 -丁香园论坛
图片尺寸2048x1536
偏颌畸形往往是先天或后天发育畸形导致左右脸不对主要_圈子-新氧美容
图片尺寸570x710
偏颌
图片尺寸570x570
偏颌
图片尺寸2000x665
医生方案pk#偏颌脸歪要怎么整?
图片尺寸567x755
面部骨骼不对称
图片尺寸600x800
偏颌不治疗会越来越严重吗,偏颌不矫正会出现哪些后果?
图片尺寸400x400
骨性偏颌脸歪一定要做正颌手术才行长期单侧咀嚼自我矫正歪脸能恢复吗
图片尺寸442x364
地包天 轻微偏颌 下巴长 侧面凹陷 求助是否需要手术呢
图片尺寸750x999
偏颌改变对比i小姐姐说这钱花的超值
图片尺寸828x1173