轻微漏斗胸ct图片

漏斗胸_漏斗胸治疗方式 - 好大夫在线
图片尺寸591x591
安康11岁男孩胸部凹陷一年多却不知是异常医生一查
图片尺寸1080x810
漏斗胸的微创治疗
图片尺寸2666x2000
漏斗胸_漏斗胸治疗方式 - 好大夫在线
图片尺寸952x426
漏斗胸患者的常见症状及体征_漏斗胸_漏斗胸症状表现 - 好大夫在线
图片尺寸1600x1201
漏斗胸 - 好大夫在线
图片尺寸1600x1036
不对称漏斗胸微创手术治疗_漏斗胸微创矫正术_漏斗胸微创矫正术治疗
图片尺寸957x532
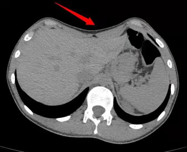
ct观察漏斗胸对心肺的影响
图片尺寸640x480
漏斗胸患者的常见症状及体征_漏斗胸_漏斗胸症状表现 - 好大夫在线
图片尺寸1600x1201
挺胸做人!心胸血管外科微创漏斗胸矫治术简介
图片尺寸878x578
重庆市人民医院胸外科马铮教授团队:微创手术拯救"漏斗胸"少年
图片尺寸641x520
今天,我科顺利完成一例小儿漏斗胸的微创手术!
图片尺寸854x640
浅析漏斗胸患者的蝴蝶效应与影像 - 丁香园论坛
图片尺寸996x846
24岁成年漏斗胸合并肋弓外翻微创手术治疗_漏斗胸_漏斗胸治疗方式
图片尺寸469x355
漏斗胸nuss微创矫正病例报道.患者非常满意,表示感谢 - 好大夫在线
图片尺寸2976x3968
24岁成年漏斗胸合并肋弓外翻微创手术治疗_漏斗胸_漏斗胸治疗方式
图片尺寸469x355
漏斗胸伤身又伤心,微创手术解烦忧!
图片尺寸878x578
漏斗胸影响外观 更影响心肺功能
图片尺寸550x823
威尔医院警醒各位:漏斗胸手术应注意常伴其他疾病
图片尺寸800x500
漏斗胸诊治
图片尺寸610x457