输尿管结石ct图片

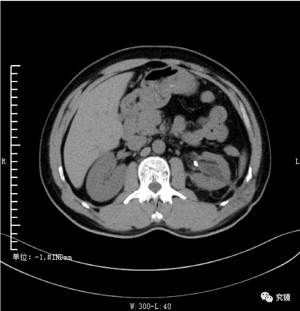
左输尿管上段结石
图片尺寸2000x2667
震波碎石后复查ct提示右侧肾盂输尿管连接部小结石,右输尿管中下段
图片尺寸1600x1134
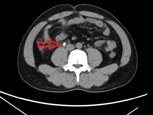
箭头所指为输尿管结石箭头所指为输尿管结石ct检查是发现结石最有效的
图片尺寸536x668
考虑患者可能为双侧输尿管结石导致的无尿,急查泌尿系ct提示双肾积水
图片尺寸1080x809
输尿管上段结石 - 好大夫在线
图片尺寸3024x4032
38号作品经皮肾镜术治疗左输尿管上段结石并左肾积水
图片尺寸620x641
ct提示右侧输尿管上段结石.
图片尺寸503x377![[先进技术]输尿管软镜 钬激光碎石取石术,让结石无处可藏](https://imgs.wantubizhi.com/img/A1A61BAA66193547F3A6DD7D8EE527E92BAF51B91B6B50E96B5600BA15B221781DA04AC043589EB36A49651287309730A60B9C35695524B559C3050D1C3311FFCDF823AE5BB2067D0B38C8BB2F28167EA766C15E54A63D623177160BD5B7F7E5)
[先进技术]输尿管软镜 钬激光碎石取石术,让结石无处可藏
图片尺寸1080x1440
小输尿管结石无法排石往往意味着输尿管狭窄的存在_输尿管结石_输尿管
图片尺寸638x916
【迁医健康】ctu检查让泌尿系结石无处遁形_输尿管_图像_肾盂
图片尺寸979x483
一粒输尿管结石的疏忽足以毁了整个肾脏_治疗
图片尺寸812x662
腹部ct扫描提示右肾中度积水,右输尿管扩张明显.
图片尺寸1599x1199
输尿管上段结石 - 好大夫在线
图片尺寸3024x4032
逆流而上的输尿管结石 - 好大夫在线
图片尺寸3120x4160
开始疼痛为主仅仅考虑肾及输尿管结石,后来出现明显腹膜炎又主要考虑
图片尺寸2592x3456
腹部ct提示左侧输尿管上段结石并左肾盂扩张,既往糖尿病病史10年
图片尺寸1600x1200
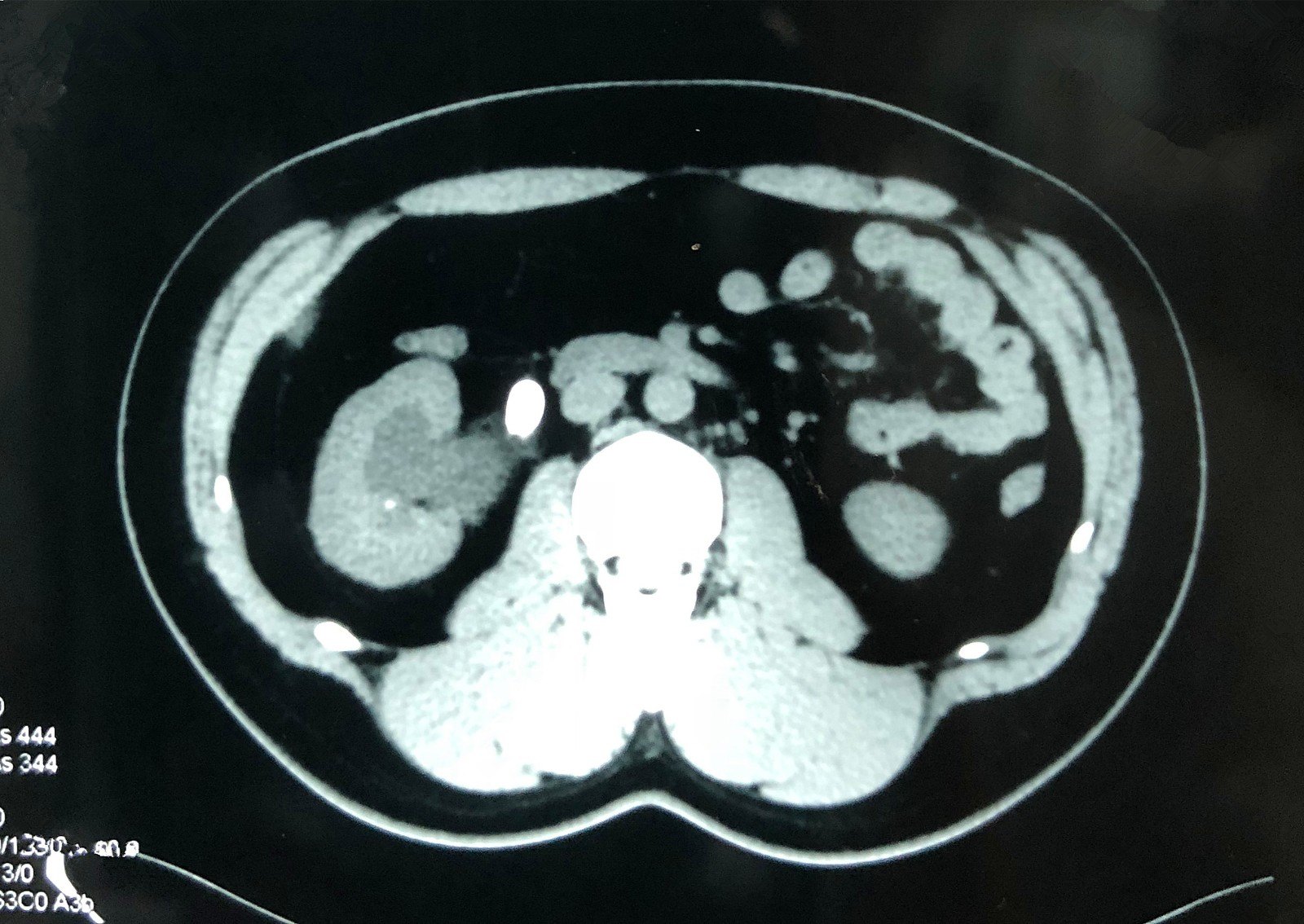
右输尿管结石合并肾积水
图片尺寸4208x2368
输尿管上段结石 - 好大夫在线
图片尺寸3024x4032
最大的是腹腔镜全膀胱回肠导管,还有一台输尿管结石和turbt
图片尺寸1199x1599
输尿管下段结石处理一例
图片尺寸462x430