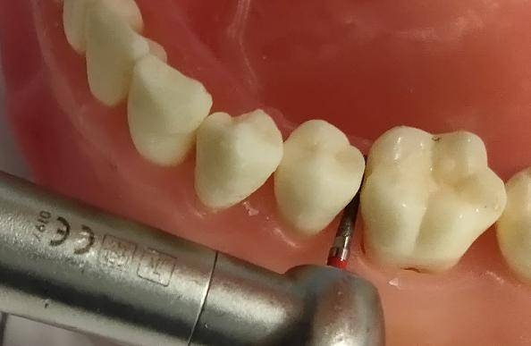
邻面去釉

正畸邻面去釉砂条牙科开牙缝工具打磨条磨牙条口腔用片切砂条ipr
图片尺寸800x534
正畸医生须知邻面去釉工具与临床操作详解适应症禁忌症去釉量注意事项
图片尺寸1014x322
牙齿矫正中的邻面去釉大揭秘
图片尺寸500x332
在廊坊矫正方案中的邻面去釉到底是什么
图片尺寸406x337
厂家告诉你:正畸用邻面去釉的使用 科贸嘉友收录
图片尺寸560x700
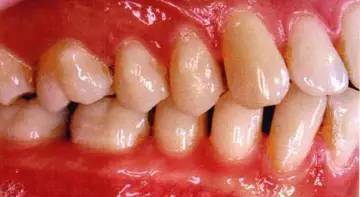
邻面去釉 正畸修复牙齿黑三角
图片尺寸500x256
宇森 正畸邻面去釉套装cx235c
图片尺寸1080x1080
邻面去釉砂片套装 口腔正畸口腔材料片切套装 牙科工具临面去釉
图片尺寸800x800
正畸医生常说的"邻面去釉"究竟是什么?
图片尺寸536x316
医护需知邻面去釉片切的要点和注意事项
图片尺寸720x306
格伦菲尔杨阳医生邻面去釉牙齿片切常见的4个问题
图片尺寸720x342
片切(邻面去釉)
图片尺寸196x257
你知道牙齿矫正中常说的邻面去釉要多少钱吗戳这
图片尺寸600x465
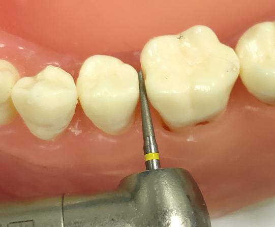
高效,快速——邻面去釉车针_操作_修整_抛光
图片尺寸594x387
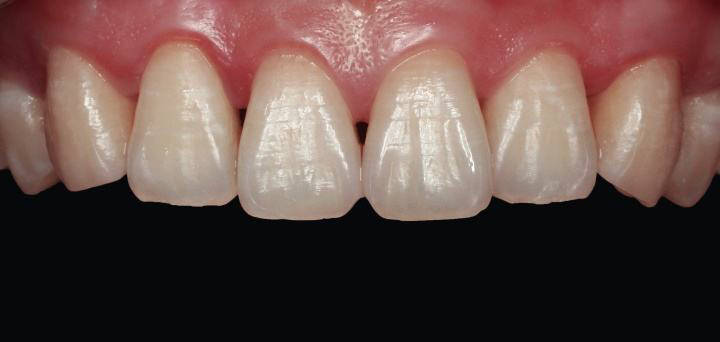
《邻面去釉(片切)在牙齿矫正中的运用》
图片尺寸2560x1440
邻面去釉砂片套装 口腔正畸口腔材料片切套装 牙科工具临面去釉
图片尺寸800x800
正畸医生须知邻面去釉工具与临床操作详解适应症禁忌症去釉量注意事项
图片尺寸552x418
邻面去釉常见问题
图片尺寸360x197
在牙齿矫正中,"邻面去釉"安全吗?
图片尺寸640x425
高效,快速——邻面去釉车针_操作_修整_抛光
图片尺寸541x446