酸蚀

酸蚀症应该被警惕
图片尺寸380x176
酸蚀症应该被警惕
图片尺寸440x748
酸蚀症 - vol.23
图片尺寸500x378
牙酸蚀症
图片尺寸1210x804
(1)酸蚀网纹是鉴别酸洗充胶处理翡翠非常关键的证据.
图片尺寸1080x1439
牙齿的酸蚀症是怎么回事?_汕头口腔医疗中心
图片尺寸600x375
全酸蚀与自酸蚀的区别是什么
图片尺寸628x353
5ml牙科酸蚀剂 酸蚀剂 2只装
图片尺寸1984x1984
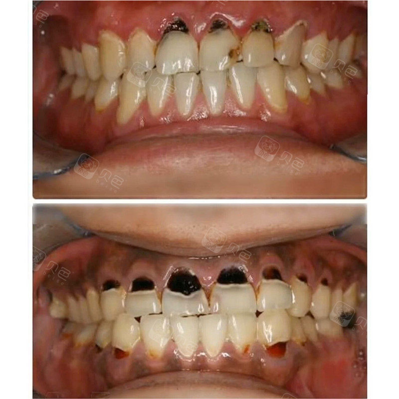
两例较为严重的酸蚀症病例
图片尺寸922x304
酸蚀症应该被警惕
图片尺寸738x744
酸性饮料导致的牙列重度磨耗(酸蚀症)
图片尺寸640x426
酸蚀症前牙面出现浅沟凹陷小坑图.jpeg
图片尺寸400x300
(得酸蚀症的牙齿)
图片尺寸400x540
爱喝可乐的我看到这个牙齿得了牙齿酸蚀症真的怕了
图片尺寸800x800
详细了解自酸蚀全酸蚀
图片尺寸560x576
牙齿酸蚀症.jpg
图片尺寸490x254
当心「牙齿酸蚀」整组烂光光
图片尺寸600x380
酸蚀症牙齿图片
图片尺寸394x452
大学生可乐当水喝,牙齿敏感疼痛难忍!得了"酸蚀症"?
图片尺寸535x338
牙齿酸蚀症比蛀牙还麻烦?做好这些可预防
图片尺寸447x304