钉突

下面的这张切片也表明龈沟上皮是有钉突的.
图片尺寸560x1008
膜性肾病,钉突形成
图片尺寸640x524
膜性肾病ii期,红色箭头:钉突已经很明显了.
图片尺寸631x458
31 六胺银染色:红色箭头:肾小球基底膜上大量钉突形成
图片尺寸509x343
钉突样外观化学性断发皮肤镜特征
图片尺寸787x358
期,红色箭头:电子致密物;绿色箭头:光镜下我们所看到的「钉突样」物质
图片尺寸556x371
肾病患者(钉突尚未出现)经糖皮质激素及细胞毒药物治疗后可达临床缓解
图片尺寸389x352
图片上是什么昆虫
图片尺寸450x300
但是再来看一张切片:下面的这张切片也表明龈沟上皮是有钉突的.
图片尺寸560x502
(3)衬里上皮厚薄不均,有 不规则上皮钉突形成,外为 纤维囊壁环绕.
图片尺寸1080x810
注:与膜肾的钉突不同,驼峰比较孤立,但体积大,不进入基底膜
图片尺寸425x425
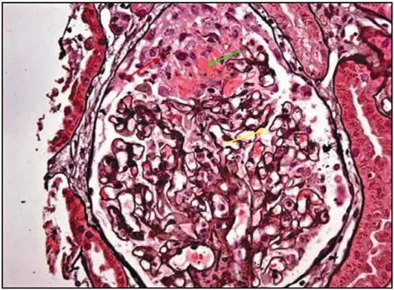
图 3 为pasm 染色:膜性肾病 ii 期,红色箭头:已经出现「钉突」,其实
图片尺寸546x420
儿童肾病综合征诊治新进展ppt
图片尺寸1080x810
口腔上皮细胞生物简图 急需!
图片尺寸450x371
在这里我们要提的一点是:角化粘膜有明显的上皮钉突和结缔组织乳头,而
图片尺寸640x426
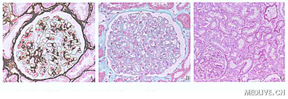
膜性肾小球肾炎:基膜增厚,钉状突起(银染)
图片尺寸504x330
病变特点早期为上皮细胞(足细胞) 下免疫复合物沉积物伴有基膜"钉突"
图片尺寸1080x810
肾内病理图解 | 膜性肾病
图片尺寸573x421
牙齿变长牙缝变宽注意你的牙龈正在萎缩
图片尺寸660x449
a:肾小球毛细血管袢开放僵硬状,上皮侧钉突形成(pasm-masson
图片尺寸1000x346