钙化灶是什么意思

你知道钙化灶是什么意思如果出现钙化情况我们该怎么对待
图片尺寸500x320
肺部钙化灶和磨玻璃结节是什么意思,磨玻璃结节95%都是肺癌么.
图片尺寸1904x1280
肝右叶钙化灶什么意思?
图片尺寸1200x1600
检查发现肺钙化灶时什么病?
图片尺寸640x636
其它 教你读懂胸部ct报告 写美篇什么是慢性炎症,纤维灶,钙化灶?
图片尺寸547x523
肺内钙化病灶的鉴别诊断
图片尺寸554x488
左上肺钙化灶
图片尺寸640x970
肝内钙化灶是什么意思(一文说清)
图片尺寸1280x834
右腰微疼是不是肾在作怪呢右肾钙化灶
图片尺寸1080x1207
3乳腺可疑钙化灶长啥样?
图片尺寸490x603
肝右叶钙化灶(4mm×3mm)和直接胆红素偏高(8.8)其他都正常,不知道这
图片尺寸600x800
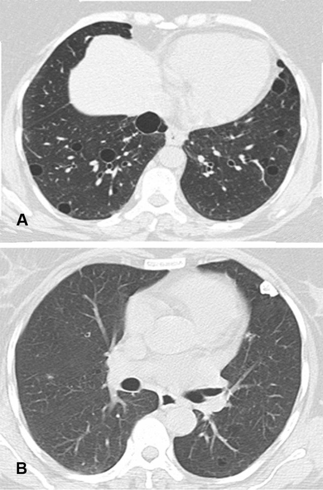
肺内多发钙化灶考虑什么
图片尺寸3000x3000
左上肺钙化灶
图片尺寸512x512
肝钙化灶买保险会拒保吗 肝钙化灶能买保险吗
图片尺寸620x826
咳嗽一年找不到原因原来是肺部钙化惹的祸
图片尺寸451x367
体检发现肝内钙化灶,到底要不要治?(体检系列四)_体检
图片尺寸544x960
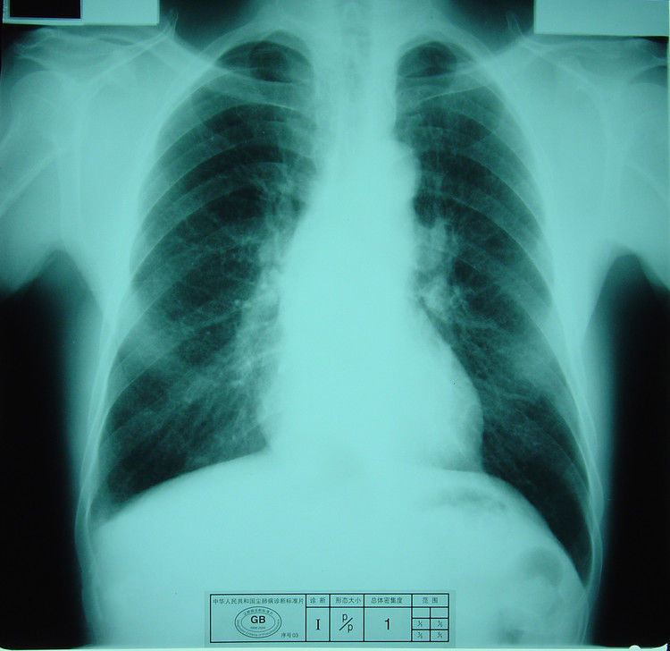
左上肺钙化灶
图片尺寸750x728
【科普】乳腺钙化灶-乳腺癌康复圈-觅健
图片尺寸640x508
肝内钙化灶
图片尺寸744x563
【图】肝脏钙化灶是什意思 肝脏钙化的5大病因
图片尺寸500x375