钙质沉着症

特发性阴囊钙沉积症1例(蛋蛋的忧桑啊~)
图片尺寸646x462
皮肤性病科图谱内分泌代谢性皮肤病皮肤钙质沉着症
图片尺寸1022x1010
超声微课堂肾结石和肾钙质沉着症超声表现的异同之二
图片尺寸640x480
阴囊特发性皮肤钙质沉着症1例
图片尺寸1517x1996
阴囊特发性皮肤钙质沉着症1例
图片尺寸1517x2107
肿瘤样钙质沉着症肿瘤样钙质沉着症继发性:多见于慢性肾功能不全患者.
图片尺寸264x371
家族性进行性色素沉着
图片尺寸500x407
超声微课堂肾结石和肾钙质沉着症超声表现的异同之二
图片尺寸640x480
超声微课堂肾结石和肾钙质沉着症超声表现的异同之二
图片尺寸640x480
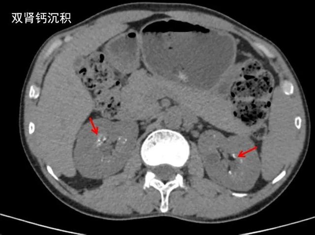
双肾实质泥沙样钙质沉着
图片尺寸640x477
肺尘埃沉着症
图片尺寸725x768
超声微课堂肾结石和肾钙质沉着症超声表现的异同之二
图片尺寸640x480
特发性阴囊钙沉着症1例
图片尺寸1517x2056
阴囊钙沉着症
图片尺寸310x509
膝关节周围肿瘤样钙质沉着症1例
图片尺寸293x162
系统性红斑狼疮并发小腿皮肤广泛钙质沉着症1例
图片尺寸893x1234
超声微课堂肾结石和肾钙质沉着症超声表现的异同之二
图片尺寸640x480
儿童遗传性肾结石/肾钙质沉着症精准诊治全国推进计划
图片尺寸1233x858
超声微课堂肾结石和肾钙质沉着症超声表现的异同之二
图片尺寸640x480
阴囊特发性钙质沉着.阴囊真皮中可见钙化灶
图片尺寸661x496