钱氏线

钱氏线:硬腭后缘与枕骨大孔后上缘的连续.
图片尺寸875x456
image
图片尺寸865x429
【收藏】颅底凹陷症影像学上的线与角
图片尺寸855x532
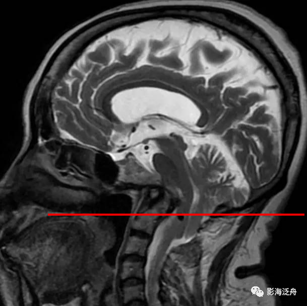
齿状突高于钱氏线9.6mm 齿状突高于斜坡延长线 克劳指数约2.
图片尺寸875x442
颅底凹陷症--钱氏线.颅底凹陷症(basilar invag - 抖音
图片尺寸848x1128
(备注:腭枕线亦称钱氏线(chamberlainsline),即头颅侧位片上由硬腭后
图片尺寸348x372
术前测量 adi=4.39mm 齿状突尖高于钱氏线7.83mm 斜坡齿突角=106.25
图片尺寸1536x859
脊柱x线测量ppt
图片尺寸1080x810
"竖横针刺法"治疗腰痛 - 钱德金钱氏医缘的日志 - 网易博客
图片尺寸500x763
剡北钱氏宗谱6卷
图片尺寸3675x3008
颈椎生理曲度变直,齿状突向上后方移位,超过硬腭与枕骨大孔下缘连线约
图片尺寸764x437
图片
图片尺寸609x606
(备注:腭枕线亦称钱氏线(chamberlainsline),即头颅侧位片上由硬腭后
图片尺寸660x495
正常齿状突位于斜坡延长线下方斜坡延长线:如此线相交于齿状突基底部
图片尺寸990x457
966钱氏家训国家篇
图片尺寸932x723
齿状突加冠综合征ct如何诊断?放射科医生讲解!
图片尺寸1024x576
吴越王钱镠(1) 他建立了中国历史上唯一一个钱氏王朝
图片尺寸421x442
如何解读8002幼线体
图片尺寸480x300
钱氏选股法当前行情如何选票和四要素打票法
图片尺寸1440x900
钱姓起源和来历:活了八百岁的彭祖竟然是钱氏祖先
图片尺寸600x400