铜绿假单胞菌肺炎

一文读懂铜绿假单胞菌肺炎
图片尺寸685x471
社区获得性铜绿假单胞菌肺炎
图片尺寸526x462
铜绿假单胞菌感染抗菌药选用有讲究
图片尺寸697x531
社区获得性铜绿假单胞菌肺炎
图片尺寸320x263
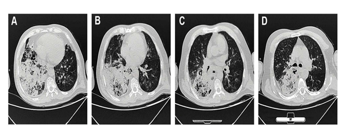
影,内部有坏死和小空洞提示为化脓性炎,后来确诊为铜绿假单胞菌肺炎
图片尺寸407x259
追踪痰中最常见的杀手之一铜绿假单胞菌
图片尺寸704x529
铜绿假单胞菌感染抗菌药选用有讲究
图片尺寸821x587
铜绿假单胞菌下呼吸道感染诊治
图片尺寸669x258
矿泉水生产如何预防铜绿假单胞菌超标? - 知乎
图片尺寸440x271
pseudomonasaeruginosa铜绿假单胞菌
图片尺寸1080x810
铜绿假单胞菌感染
图片尺寸1387x1377
铜绿假单胞菌是什么?对人体有什么危害?
图片尺寸640x640
铜绿假单胞菌感染的介绍
图片尺寸350x241
一文了解铜绿假单胞菌
图片尺寸500x375
第8节:铜绿假单胞菌肺炎如何诊断
图片尺寸1920x1080
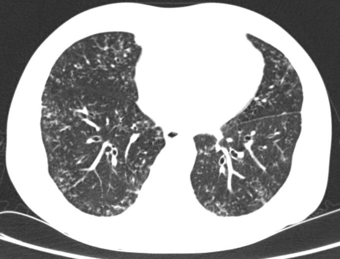
铜绿假单胞菌:弥漫性支气管肺炎 小叶中心结节 早期肺脓肿 胸腔积液
图片尺寸640x538
铜绿假单胞菌粘液性铜绿假单胞菌的药敏选择
图片尺寸854x783
铜绿假单胞菌检验方法
图片尺寸1000x1000
橡皮糖你吃过,橡皮一样的铜绿你见过吗?
图片尺寸887x926
一文读懂铜绿假单胞肺炎
图片尺寸1080x1049