铬中毒

重庆发现超重度铬中毒患者体内铬超标万倍图
图片尺寸300x225
六价铬的解释
图片尺寸580x435
被铬污染的河流 铬中毒的患者
图片尺寸1080x810
拿什么拯救你我们赖以生存的土壤
图片尺寸505x641
ppt 一,预防重金属盐中毒 人体摄入过多的含铅,铜,汞,镉,锰,铬等重
图片尺寸1080x810
怎样预防铬中毒
图片尺寸400x300
女子因吃野菜中毒晒太阳后头脸发肿图
图片尺寸530x288
体内铬超标致双肾严重中毒
图片尺寸550x769
它指含有镉,镍,汞等的废水,而其中"汞,铅,砷,镉,铬",在环保界被称之为
图片尺寸417x399
在工业使用中通常为六价铬,六价铬有强氧化作用,所以慢性中毒往往以
图片尺寸420x331
铬中毒多久会表现症状
图片尺寸400x300
洋垃圾,终于滚出了中国!
图片尺寸642x460
铬超标胶囊 不会导致中毒
图片尺寸450x481
铬对人体及环境的影响
图片尺寸588x306
长期铬中毒会导致肝肾损伤严重引起皮肤癌,长期摄入锰元素,会产生记忆
图片尺寸500x364
铬中毒有哪些主要症状
图片尺寸400x300
专家详解"毒胶囊"铬中毒的危害(5)
图片尺寸445x443
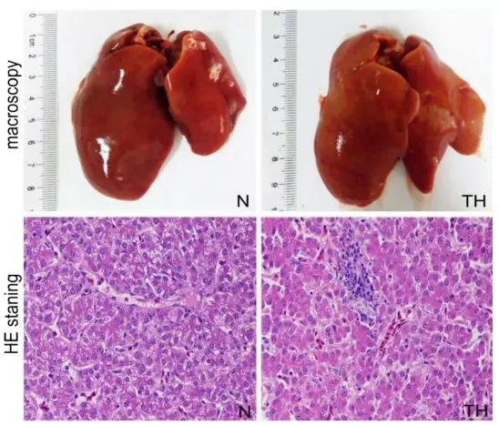
转录组分析揭示铬中毒肝脏代谢紊乱的分子机制
图片尺寸548x468
铬中毒的铬来源和用途
图片尺寸400x300
六价铬中毒的检测方法
图片尺寸400x300