锁合牙

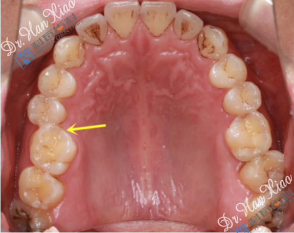
你的牙没缺没烂就是嚼不动有可能是后牙锁合在搞事情
图片尺寸574x388
你的牙没缺没烂就是嚼不动有可能是后牙锁合在搞事情
图片尺寸829x548
一例安氏ii类ii分类伴双侧后牙正锁合病例分享
图片尺寸640x456
替牙期患者磨牙锁合的改正
图片尺寸680x326
图1,我牙齿的问题,反合 锁合 深覆合图2,医生做的方案,医生从头到尾给
图片尺寸1080x1439
一例安氏ii类ii分类伴双侧后牙正锁合病例分享
图片尺寸640x294
什么是锁合锁合如何解除
图片尺寸690x244
一例安氏ii类ii分类伴双侧后牙正锁合病例分享
图片尺寸640x350
替牙期患者磨牙锁合的改正-医联
图片尺寸649x427
后牙锁合矫治一例----屈晓兵
图片尺寸620x620
一例安氏ii类ii分类伴双侧后牙正锁合病例分享李望松
图片尺寸640x432
一例安氏ii类ii分类伴双侧后牙正锁合病例分享
图片尺寸640x504
13岁富二代男孩营养不良竟是因为它
图片尺寸536x210
后牙锁合矫治一例----屈晓兵
图片尺寸620x620
后牙锁合矫治一例----屈晓兵
图片尺寸620x620
牙齿锁合是怎么回事正畸失败有可能会造成锁合
图片尺寸1297x366
一例安氏ii类ii分类伴双侧后牙正锁合病例分享
图片尺寸640x338
你的牙没缺没烂就是嚼不动有可能是后牙锁合在搞事情
图片尺寸575x455
什么是锁合锁合如何解除
图片尺寸690x231
替牙期患者磨牙锁合的改正
图片尺寸680x373