错构瘤

肺错构瘤
图片尺寸500x579
巨大的肾错构瘤哪些可以微创手术保留肾脏
图片尺寸3264x1840
右肾错构瘤
图片尺寸680x907
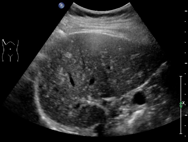
医学超声中的"满天繁星",其实是肝内胆管错构瘤
图片尺寸628x472
肺错构瘤pulmonaryhamartoma
图片尺寸565x361
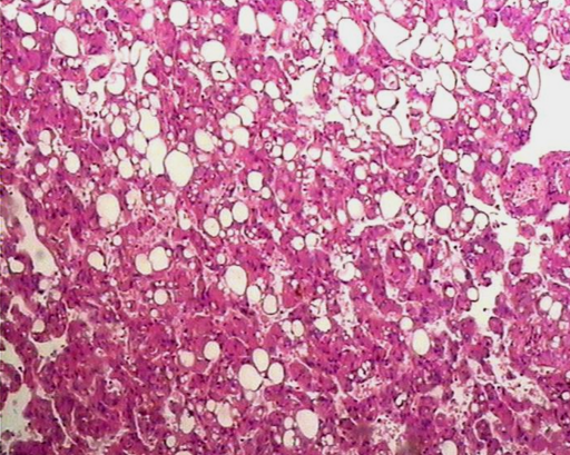
肾错构瘤的病理及鉴别诊断
图片尺寸512x409
泌尿外科完成一例肾巨大错构瘤手术
图片尺寸2000x2666
我的典型病例五:30cm巨大肾错构瘤保肾手术1例
图片尺寸1080x1440
一例右肾较大错构瘤,介入栓塞治疗,安全有效,微创,而且能完全保留病变
图片尺寸2000x2667
又有2例下丘脑错构瘤所致癫痫患者得到完全治愈原创
图片尺寸1749x2386
巨大左肾错构瘤自发性破裂出血1例 - 好大夫在线
图片尺寸1600x900
巨大肾错构瘤_肾错构瘤_肾错构瘤介绍 - 好大夫在线
图片尺寸1200x1600
肝脏间叶性错构瘤
图片尺寸1280x720
左肺错构瘤1例
图片尺寸1651x1366
巨大的肾错构瘤哪些可以微创手术保留肾脏
图片尺寸1840x3264
偏侧型下丘脑错构瘤.png
图片尺寸1578x1684
左肺错构瘤1例
图片尺寸1079x1509
右肾占位:右肾错构瘤?-医联
图片尺寸680x907
面面俱到:肾错构瘤诊疗综述
图片尺寸640x510
双肾区大错构瘤_肾错构瘤 - 好大夫在线
图片尺寸800x544