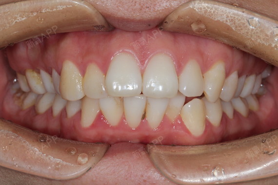
锥形牙

患者右上侧切牙锥形牙,两侧有牙间隙,设计瓷贴面修复.
图片尺寸640x427
美女眼眶长牙右眼眶下竟然有一颗锥形牙齿
图片尺寸377x369
前牙区锥形多生牙
图片尺寸400x236
来图来样锥形机牙螺丝加工 cnc数控机加工轴零件定制 精密五金件
图片尺寸750x800
相比这种技术很难做到三维控制,所以需要在牙齿上做一些小附件来辅助
图片尺寸570x380
龅牙啊龅牙啊龅牙这个问题真的让我烦恼了很久大家都说我其实长得挺
图片尺寸570x380
口腔内准备 基牙龋患,必须去净龋并作充填修复,必要时作根管治疗.
图片尺寸1165x673
锥形种植体
图片尺寸500x372
遇到锥形牙怎么办一起来了解一下吧
图片尺寸556x185
龅牙啊龅牙啊龅牙这个问题真的让我烦恼了很久大家都说我其实长得挺
图片尺寸570x380
郏县中医院儿童口腔科――孩子"双排牙"怎么办
图片尺寸1559x1343
牙医说容易受伤的畸形中央尖
图片尺寸500x382
龅牙啊龅牙啊龅牙这个问题真的让我烦恼了很久大家都说我其实长得挺
图片尺寸570x380
锥形牙
图片尺寸327x322
我在深圳做了360美牙超薄瓷贴面半月后的感觉_凤凰网健康_凤凰网
图片尺寸516x201
采用全瓷贴面,全瓷粘结桥等修复技术修复氟斑牙,四环素牙,锥形牙,牙
图片尺寸777x561
四环素牙染色 跌倒外伤折裂 牙齿形状不美观,例如过小牙,锥形牙(虎牙
图片尺寸800x600
今年21岁,做牙齿正畸中,现在笑起来牙龈露的比较多,和医生讲了,他说
图片尺寸2592x1552
各种类型缺损牙和缺失牙的修复治疗,如大面积缺损,牙体折裂,锥形牙,过
图片尺寸265x283
过小牙或锥形牙统称牙过小畸形.
图片尺寸361x240