门牙缺损

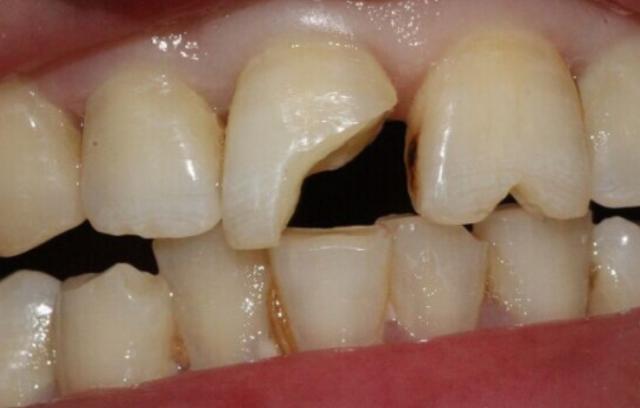
门牙缺了一点怎么办
图片尺寸640x418
门牙掉了一半,医院补得牙不到一个月就掉了怎么办
图片尺寸620x465
上门牙掉了一半,请问怎么治疗合适?
图片尺寸733x446
我门牙缺损,有什么办法修复,有没有对自己牙齿伤害小,磨损少的修复
图片尺寸612x816
前门牙缺损光固化树脂修复
图片尺寸1440x1920
门牙缺损修复一例 - 好大夫在线
图片尺寸1440x1080
上门牙掉了一半,请问怎么治疗合适?
图片尺寸567x394
孩子10岁,玩耍摔倒,右边门牙崩了一块,能补吗?要不要去医院检查有
图片尺寸600x800
求助啊 门牙断了 口腔医院好黑啊
图片尺寸720x960
门牙缺了一点怎么办
图片尺寸640x408
门牙缺了一块可以补吗?
图片尺寸366x240
或者是牙齿出现缺损未及时进行治疗,有的人会出现 门牙断裂的情况
图片尺寸450x256
门牙摔掉了一点,是修复好一点还是换好一点,大概多少钱
图片尺寸780x1040
牙齿缺失
图片尺寸401x267
临沂:孩子撞上玻璃门两门牙断了 家长物业有说法
图片尺寸375x410
(男 , 28岁)我今天门牙磕掉了一半还有一半在上面连的,怎么办?
图片尺寸768x1024
门牙磕断,贴面修复比较耐用.
图片尺寸1080x720
小孩9岁上门牙崩断了5分之1,请问怎样才能补救回来
图片尺寸864x1152
门牙牙根断了怎么办 门牙断掉医保
图片尺寸375x500
十三岁的小美女 门牙缺了一块 这个太影响美观 笑的都不自信了
图片尺寸1200x900