门静脉ct解剖图

肝门静脉左支角部断层面所示,标注为2的解剖结构是
图片尺寸372x264
【共享】在ct上判断门脉高压的方法(附图)
图片尺寸640x960
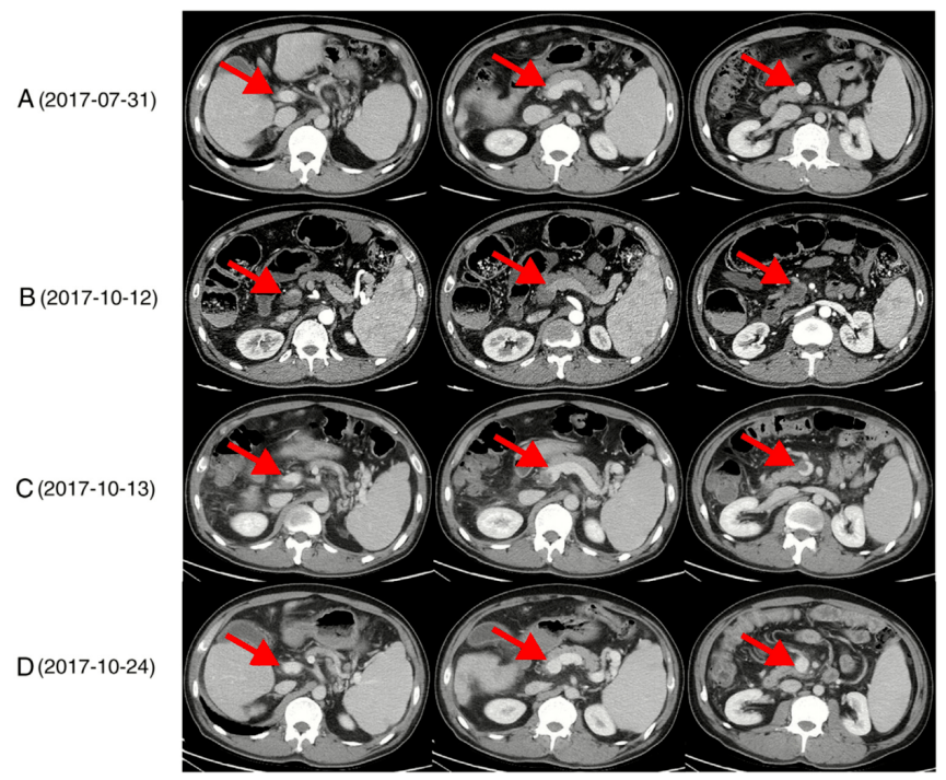
tips手术成功治愈门静脉及肠系膜静脉全程血栓患者
图片尺寸776x636
肝门静脉左支角部横断层面
图片尺寸990x1213
死神之镰丨门静脉系统积气影像表现
图片尺寸960x720
上海交大医学院断层解剖学,考试复习必备! 经肝门静脉右支的横断层面
图片尺寸1080x810
门静脉解剖,变异及常见病变影像表现
图片尺寸720x405
门静脉周围淋巴结
图片尺寸1080x810
光影科普|第一期:门静脉
图片尺寸911x979
【收藏】全腹部高清ct图谱,淋巴结彩色图谱,血管解剖图谱大汇总!
图片尺寸640x480
图6-5 经肝门静脉左支矢状部的横断层-人体断层解剖学-医学
图片尺寸1235x904
低分子肝素序贯利伐沙班治疗肝硬化急性,闭塞性门静脉-肠系膜上静脉
图片尺寸865x713
门静脉解剖,变异及常见病变影像表现
图片尺寸720x405
图1胸部ct显示的右侧锁骨下静脉(a)右颈内静脉;(b)右颈动脉;(c)左锁骨
图片尺寸485x487
光影科普|第一期:门静脉
图片尺寸880x893
【放射微课堂】15个ct断层解剖典型层面
图片尺寸849x593
门静脉高压分型及影像学特征
图片尺寸640x480
ct增强门脉期
图片尺寸1891x1512
干货门静脉高压分型及影像学特征
图片尺寸640x480
门静脉ctv扫描技术
图片尺寸671x315