间隙保持器图片

间隙保持器是什么儿童乳牙脱落治疗
图片尺寸697x467
儿童乳牙早失神器一间隙保持器
图片尺寸1440x1920
预防性矫治间隙保持器
图片尺寸400x265
间隙保持器的作用 - 好大夫在线
图片尺寸1600x1093
间隙保持器是什么?宝妈务必收藏!
图片尺寸640x429
牙医学堂间隙保持器的介绍
图片尺寸1280x850
间隙保持器单侧防止失去臼齿后牙齿移位变形.三维演示
图片尺寸1200x900
金属预成冠修复前后对比5.间隙保持器中做固位体.4.乳牙牙髓治疗后.3.
图片尺寸611x412
7岁儿童间隙保持器安不稳怎么办
图片尺寸500x375
门牙缺失需要间隙保持器吗看完其作用及价格就知有无必要做
图片尺寸942x467
如何选择合适的间隙保持器一文秒懂
图片尺寸660x305
活动保持器
图片尺寸1770x1300
孩子乳牙掉得早间隙保持器一定要戴上
图片尺寸350x228
专科发展
图片尺寸800x533
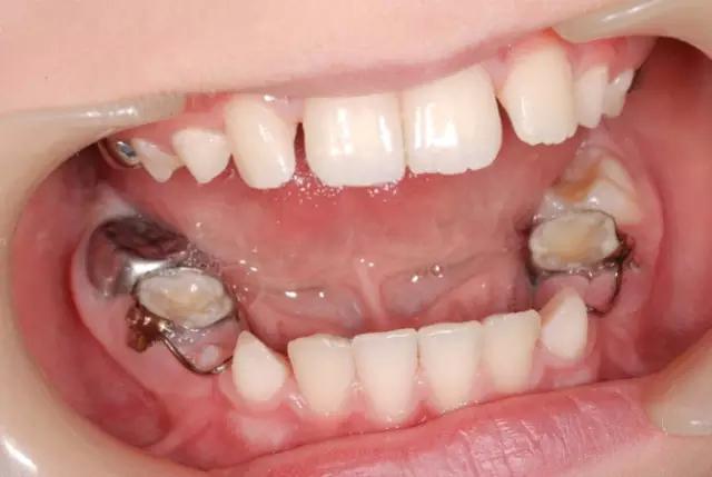
金属预成冠77间隙保持器 5岁小朋友因龋损时间久导致第一乳磨牙早失
图片尺寸960x1280
84.85义齿型间隙保持器
图片尺寸2000x2667
儿童间隙保持器_牙颌畸形_治疗方法_治疗方式 - 好大夫在线
图片尺寸1280x853
蛀牙严重坏掉做间隙保持器
图片尺寸800x532
哪里可以接受免费的间隙保持器安装?
图片尺寸476x265
84.85义齿型间隙保持器
图片尺寸2667x2000