阴超前后位子宫图片

子宫前位是什么意思(子宫前位是什么意思 有什么危害)-我的快乐小窝
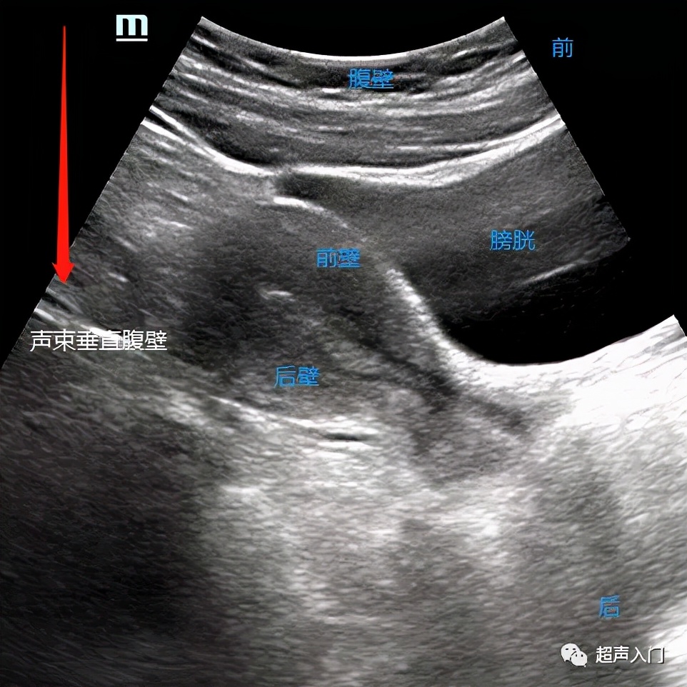
图片尺寸962x962
后位子宫有什么影响吗?
图片尺寸1859x826
宫外孕是咋回事有这些表现千万要小心
图片尺寸450x337
所以,如何理解超声下的子宫前后壁,首先需要理解解剖上的前后,再
图片尺寸640x419
早孕出血,肿么办?
图片尺寸640x479
12-11妇科超声(h17-324324):子宫前位,大小约50*52*41mm,肌层回声均匀
图片尺寸606x403
子宫形态超声解读
图片尺寸479x355
正常子宫和卵巢图片集
图片尺寸687x437
子宫前位,后位,水平位,到底啥意思?一次性帮你搞清楚!__凤凰网
图片尺寸431x324
能否帮忙看看这是子宫前位还是子宫后位,同房后适合平躺还是屁股
图片尺寸750x1089
初学超声如何准确判断子宫的位置
图片尺寸1270x648
真实!子宫彩超具体查什么?"心潮起伏"-第1张图片-喜宝网
图片尺寸750x696
图2-1-5 月经周期中子宫内膜变化声像
图片尺寸671x461
各时期正常女性生殖器官的超声声像表现!_子宫
图片尺寸752x518
子宫前位是什么意思(子宫前位是什么意思 有什么危害)-我的快乐小窝
图片尺寸826x774
b超彩超阴超它们有什么区别
图片尺寸640x528
子宫纵横切面图
图片尺寸640x469
请问怎么看子宫的前后位,和憋尿多少有关么?
图片尺寸640x960
各时期正常女性生殖器官的超声声像表现!_子宫
图片尺寸848x518
3,精确定位节育器节育器是放置在女性子宫腔内的避孕装置,是女性避孕
图片尺寸1000x1000