面角正畸

偏颌畸形矫正病例1--屈晓兵_kq88口腔正畸网
图片尺寸620x620
面相 正面口内对比.jpg
图片尺寸1134x1084
"地包天"的正畸治疗
图片尺寸721x493
正畸中的面型分类,什么叫"高角"?
图片尺寸4489x2718
我的安心变美推荐 # 676767#北大正畸博士团
图片尺寸900x900
盯着颜面做矫正正畸拯救短下巴
图片尺寸750x510
姚森:儿童反咬合的早期矫治(2)——"2x4"局部矫治
图片尺寸500x633
是的,鼻唇角减小了,因为上颌前分牵引了出来,从而有了正常的侧貌.
图片尺寸640x1240
正畸,一个影响终生的决定
图片尺寸750x660
30岁男性严重深覆合矫正
图片尺寸750x693
成都牙齿矫正舌侧正畸隐形矫治12个月侧貌改善
图片尺寸2700x3600
北京正畸案例丨龅牙 下颌后缩 ,纯矫正,还送下巴
图片尺寸1059x350
大龄正畸 - 知乎
图片尺寸1440x1920
i类,上颌中线右偏,上下颌轻度 拥挤 中线不齐骨组织:骨性ii类,高角
图片尺寸902x602
姚森儿童反咬合的早期矫治22x4局部矫治器的应用科贸嘉友收录
图片尺寸560x368
偏颌男生隐形矫正纠正面部不对称精调中
图片尺寸1001x1746
成人地包天矫正案例
图片尺寸1920x1080
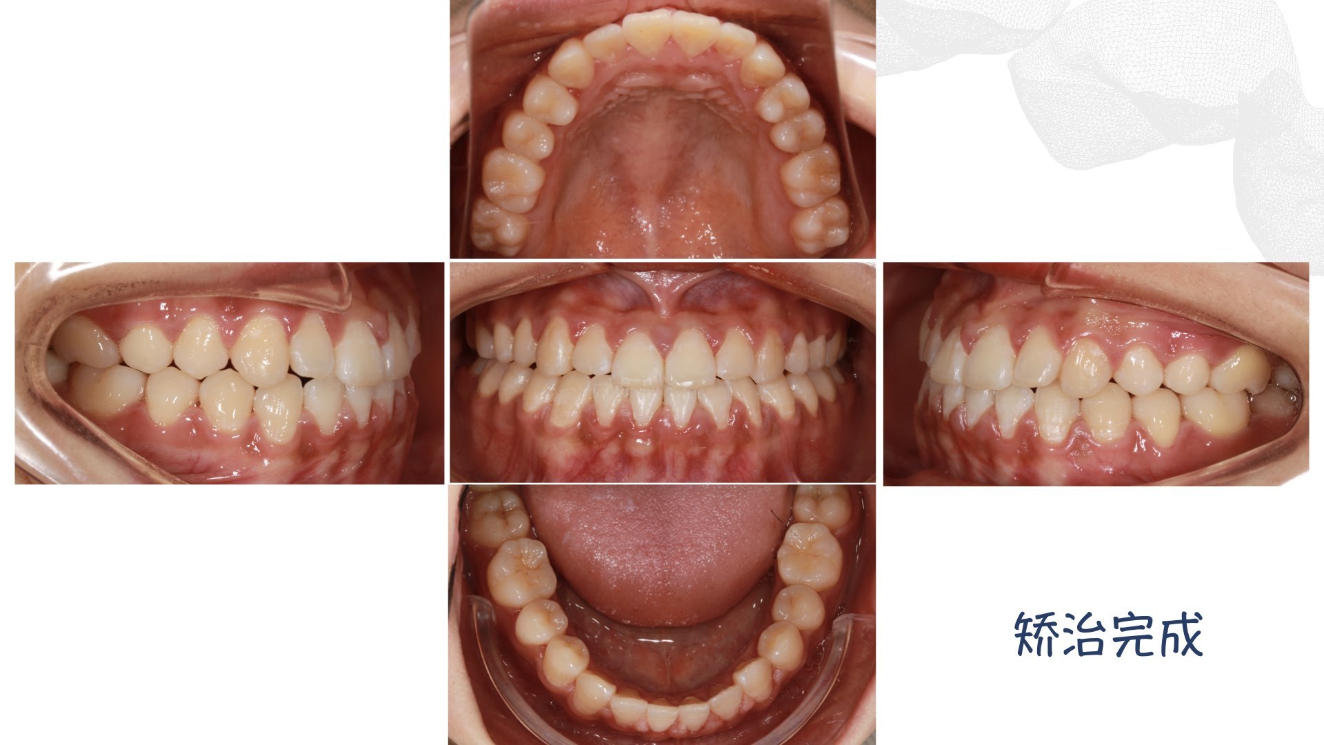
每周正畸案例分享
图片尺寸1105x1738
正畸中的面型分类,什么叫"高角"?
图片尺寸4489x2718
一般的正畸治疗是用矫治器产生的力将错位的牙齿移动到合适的位置,而
图片尺寸1080x720