面颅骨ct

颅骨开放性凹陷性粉碎性骨折并硬膜外血肿并上矢状窦损伤一例
图片尺寸1200x2133
【经验交流】颅骨骨折,容易漏诊
图片尺寸1275x1497
车祸颅骨粉碎性骨折 - 好大夫在线
图片尺寸4000x3000
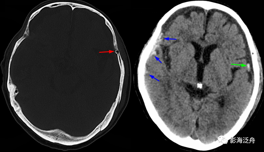
颅骨骨折(上)_医学界-助力医生临床决策和职业成长
图片尺寸553x599
颅骨骨折诊断的一点反思
图片尺寸891x519
眼睛x光外伤病人颅骨x光片显示颅骨骨折照片
图片尺寸300x300
夜班不求人颅骨骨折上
图片尺寸1004x474
车祸颅骨粉碎性骨折 - 好大夫在线
图片尺寸4000x3000
并血肿形成和急性右额颞部硬膜下出血图13:复杂颅骨骨折合并csf漏2例
图片尺寸1336x982
重型颅脑损伤一例分享.
图片尺寸2667x2000
一个颅骨骨折病人
图片尺寸1944x2592
车祸颅骨粉碎性骨折 - 好大夫在线
图片尺寸4000x3000
颅骨骨折(上)_医学界-助力医生临床决策和职业成长
图片尺寸909x525
mmexport1586180302274.jpg
图片尺寸1440x1080
开放性颅骨骨折的手术策略与技巧 | the neurosurgical atlas全文翻译
图片尺寸815x915
一例颅骨开放性骨折,请教
图片尺寸1268x1690
脑袋左侧太阳穴受到猛烈撞击大家能从这张ct中看出什么问题吗比如颅骨
图片尺寸2592x1936
面颅骨复杂性骨折求意见
图片尺寸2048x1536
一例颅骨开放性骨折请教
图片尺寸2560x1920
面颅骨复杂性骨折求意见
图片尺寸2048x1536