鞍上池囊肿

【临床病例分析】鞍区rathke囊肿的诊断及治疗方案
图片尺寸496x527
泰安市中心医院卒中中心成功为两例鞍区病变(rathke囊肿)患者实施眉弓
图片尺寸640x677![鞍区t1高信号病变之[rathke囊肿]丨小打卡读片精选(27)](https://imgs.wantubizhi.com/img/A1A61BAA66193547F3A6DD7D8EE527E9A9B598C077C47E37E9FD7CB835B3F5D400D42A5F6261E6A63E499D8F5BA0F49097AF0A0FDD69E6C166CB091F5C227113237ED97811CD2FBDF39947AE40D99CE63C3390FD2A9E7EE1AF0E5818642FC168)
鞍区t1高信号病变之[rathke囊肿]丨小打卡读片精选(27)
图片尺寸1000x3000
鞍上池蛛网膜囊肿的微创治疗
图片尺寸1023x580
鞍上池囊肿
图片尺寸640x480
鞍上池蛛网膜囊肿的微创治疗
图片尺寸582x720
贺晓生教授神经外科手术谈—"鞍上囊肿手术123" - 好大夫在线
图片尺寸1500x1125
董志强副主任医师鞍上池蛛网膜囊肿2例病例汇报
图片尺寸800x622
鞍上池囊肿的诊治(三) - 好大夫在线
图片尺寸2000x3112
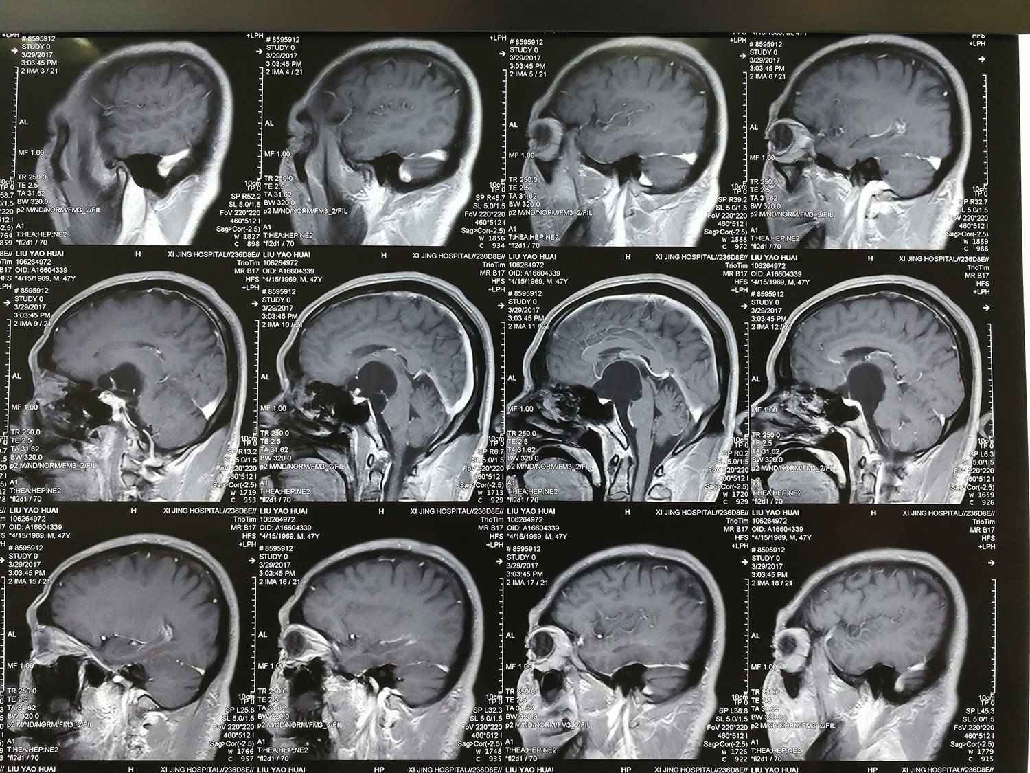
西京医院鞍区囊肿的手术治疗(实例)
图片尺寸766x566
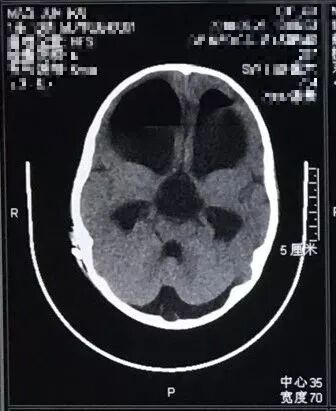
刘心睿医师:应用脑室镜治疗鞍上池,桥前池囊肿合并梗阻性脑积水一例
图片尺寸1039x309
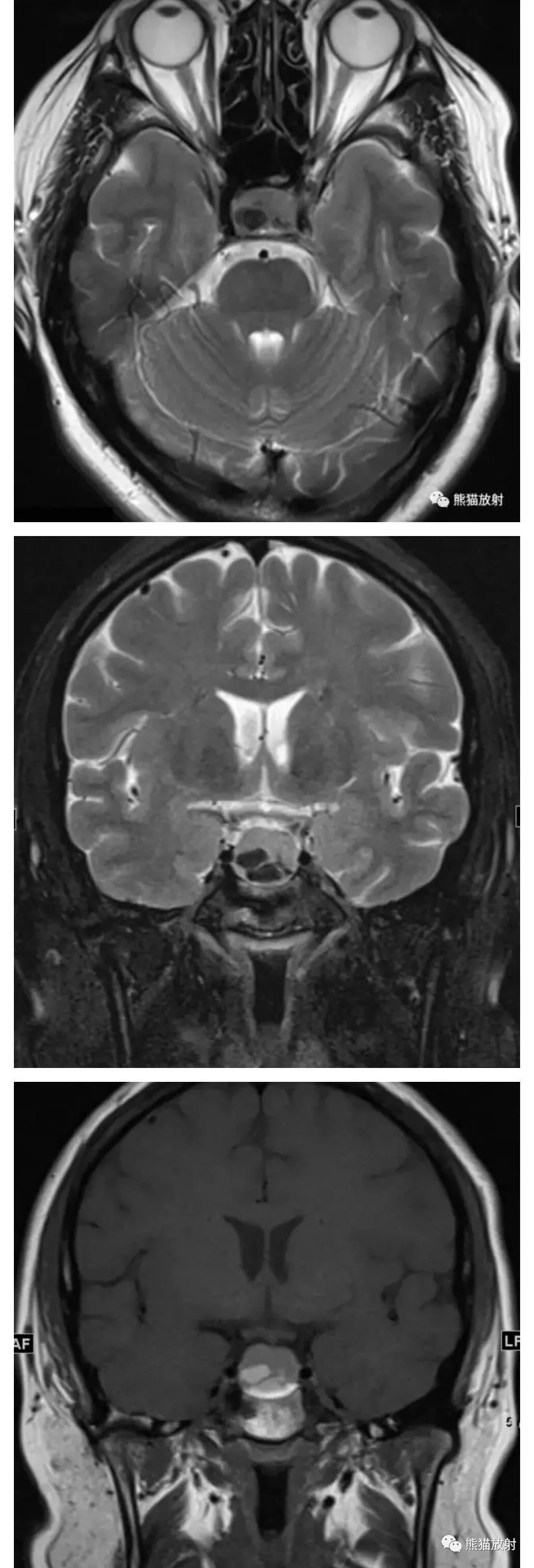
鞍区囊肿的手术治疗实例多图
图片尺寸1280x942
鞍上池蛛网膜囊肿的微创治疗
图片尺寸684x720
张冰克教授鞍上池蛛网膜囊肿造瘘后分流一例
图片尺寸336x411
rathke囊肿,经鼻微创手术轻松切除_垂体瘤_症状表现_治疗方式 - 好
图片尺寸1600x1205
我院神经外科运用脑室镜治疗鞍上池囊肿一例
图片尺寸1440x749
【正海-妙术视界】丨董志强副主任医师:鞍上池蛛网膜囊肿2例病例汇报
图片尺寸800x241
鞍区囊肿的手术治疗实例(多图)
图片尺寸934x856![鞍区t1高信号病变之[rathke囊肿]丨小打卡读片精选(27)](https://imgs.wantubizhi.com/img/735A5D1F980B52A636CC46F12F2D1A736AF4178B5201AE3902A92D975197B8F1D68BC55C9B62B7B78D621DF92F57C116D2851061D4E65D07D4648E2F6E3F0A8329E671E84F333477BD070E22EBD9F50549E1996CE569D2B361EDD08147C20639)
鞍区t1高信号病变之[rathke囊肿]丨小打卡读片精选(27)
图片尺寸1038x3048
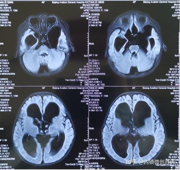
鞍上池囊肿合并双侧颞极蛛网膜囊肿相关性脑积水案例分享
图片尺寸585x555