鞍区囊肿

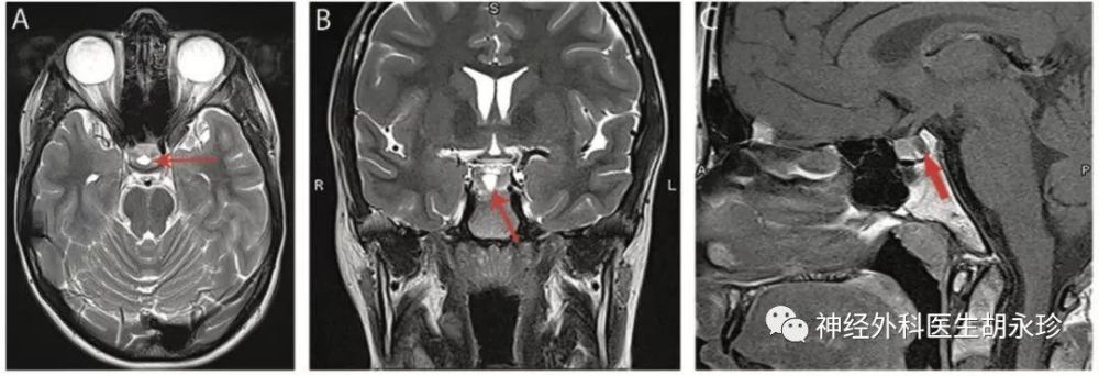
【临床病例分析】鞍区rathke囊肿的诊断及治疗方案
图片尺寸496x527![鞍区t1高信号病变之[rathke囊肿]丨小打卡读片精选(27)](https://imgs.wantubizhi.com/img/735A5D1F980B52A636CC46F12F2D1A736AF4178B5201AE3902A92D975197B8F1D68BC55C9B62B7B78D621DF92F57C116D2851061D4E65D07D4648E2F6E3F0A8329E671E84F333477BD070E22EBD9F50549E1996CE569D2B361EDD08147C20639)
鞍区t1高信号病变之[rathke囊肿]丨小打卡读片精选(27)
图片尺寸1038x3048![鞍区t1高信号病变之[rathke囊肿]丨小打卡读片精选(27)](https://imgs.wantubizhi.com/img/A1A61BAA66193547F3A6DD7D8EE527E9A9B598C077C47E37E9FD7CB835B3F5D400D42A5F6261E6A63E499D8F5BA0F49097AF0A0FDD69E6C166CB091F5C227113237ED97811CD2FBDF39947AE40D99CE63C3390FD2A9E7EE1AF0E5818642FC168)
鞍区t1高信号病变之[rathke囊肿]丨小打卡读片精选(27)
图片尺寸1000x3000
西京医院鞍区囊肿的手术治疗(实例)
图片尺寸766x566
贺晓生教授神经外科手术谈—"鞍上囊肿手术123"
图片尺寸1500x1125
鞍上池蛛网膜囊肿的微创治疗
图片尺寸582x720
鞍区囊肿的手术治疗实例(多图)
图片尺寸934x856
颅内鞍区囊肿的手术治疗(图组) - 好大夫在线
图片尺寸1280x960
西京医院鞍区囊肿的手术治疗(实例) - 好大夫在线
图片尺寸982x920
鞍区囊肿的手术治疗实例多图
图片尺寸1280x942
鞍上池蛛网膜囊肿的微创治疗
图片尺寸1023x580
泰安市中心医院卒中中心成功为两例鞍区病变(rathke囊肿)患者实施眉弓
图片尺寸640x677
其它 鞍区的肿瘤 写美篇蛛网膜囊肿,r囊,颅咽管瘤,空蝶鞍,表皮样囊肿
图片尺寸634x476
鞍上池囊肿的诊治(三) - 好大夫在线
图片尺寸2000x3112
6种鞍区常见囊性病变的ct鉴别
图片尺寸271x306
鞍区囊性病变的诊断
图片尺寸1000x342
3岁儿童鞍区蛛网膜囊肿内镜治疗后脑积水加重,历经17次失败手术,转来
图片尺寸513x367
刘全义,男,43岁,鞍区占位,rathke裂囊肿
图片尺寸1563x1113
3岁儿童鞍区蛛网膜囊肿内镜治疗后脑积水加重,历经17次失败手术,转来
图片尺寸545x401
完成一例神经内镜下经鼻蝶鞍区rathke囊肿切除术,手术过程顺利,患者术
图片尺寸500x571