颅咽管瘤

对于颅咽管瘤的治疗,我院已经达到了较高的水平!_复查
图片尺寸1080x1231
【原创】典型的颅咽管瘤 - 医学影像学讨论版 - 爱爱医医学论坛 - 爱
图片尺寸2400x3200
颅咽管瘤是低度恶性肿瘤_颅咽管瘤_介绍_症状表现_检查_治疗方式_预后
图片尺寸1472x1318
颅咽管瘤能活多久?-inc国际神经外科医生集团
图片尺寸1500x1594
理想的颅咽管瘤手术.彻底切除颅咽管瘤是治疗颅咽管瘤的重要一步 - 抖
图片尺寸1440x1448
儿童鞍区肿瘤中最常见的颅咽管瘤! - 好大夫在线
图片尺寸960x720
一颅咽管瘤患者在 华北理工大学附院神经外科 手术全切后恢复正常生活
图片尺寸1518x1486
儿童鞍区肿瘤中最常见的颅咽管瘤! - 好大夫在线
图片尺寸960x720
鞍内型颅咽管瘤彻底切除的最佳手术方案-神经内镜下经鼻手术_手机搜狐
图片尺寸640x648
5岁男孩子幼儿园体检发现颅咽管瘤
图片尺寸1920x1750
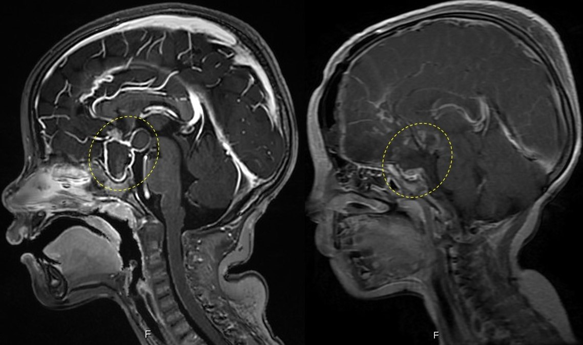
颅咽管瘤的影像诊断 | 影像天地_曹丽珍
图片尺寸960x720
内镜下颅咽管瘤一例
图片尺寸750x524
颅咽管瘤的一站式治疗 - 好大夫在线
图片尺寸1138x675
无牵开器前纵裂入路切除钙化显著的颅咽管瘤
图片尺寸1080x818
颅咽管瘤遗传给子女吗?-inc国际神经外科医生集团
图片尺寸591x493
一颅咽管瘤患者在 华北理工大学附院神经外科 手术全切后恢复正常生活
图片尺寸1522x1470
贺晓生教授:"颅咽管瘤的手术治疗"个子矮小莫忽视
图片尺寸1440x1080
颅咽管瘤的影像诊断_处理
图片尺寸1080x810
天坛神经内镜|桂松柏: 颅咽管瘤如何根据分型选择手术方式和入路_肿瘤
图片尺寸1080x406
北儿神外|葛明: 与内分泌相关的小儿神外疾病治疗策略之颅咽管瘤_手术
图片尺寸1080x819