颅底肿瘤

颅底恶性肿瘤切除游离瓣修复1例
图片尺寸486x460
神经外科团队成功实施一例大型颅底肿瘤切除术
图片尺寸2508x2321
前颅底巨大肿瘤
图片尺寸1440x1080
颅底肿瘤
图片尺寸800x739
神经内镜微创切除颅底肿瘤_手术_治疗_病变
图片尺寸811x411
颅底肿瘤手术体会
图片尺寸4032x3024
术前制作的颅底和肿瘤3d打印模型内面观
图片尺寸750x823
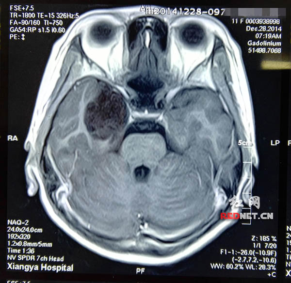
前颅底巨大肿瘤
图片尺寸1200x1124
12岁女孩偷窃成瘾 原是颅底肿瘤压迫致人格改变
图片尺寸600x584
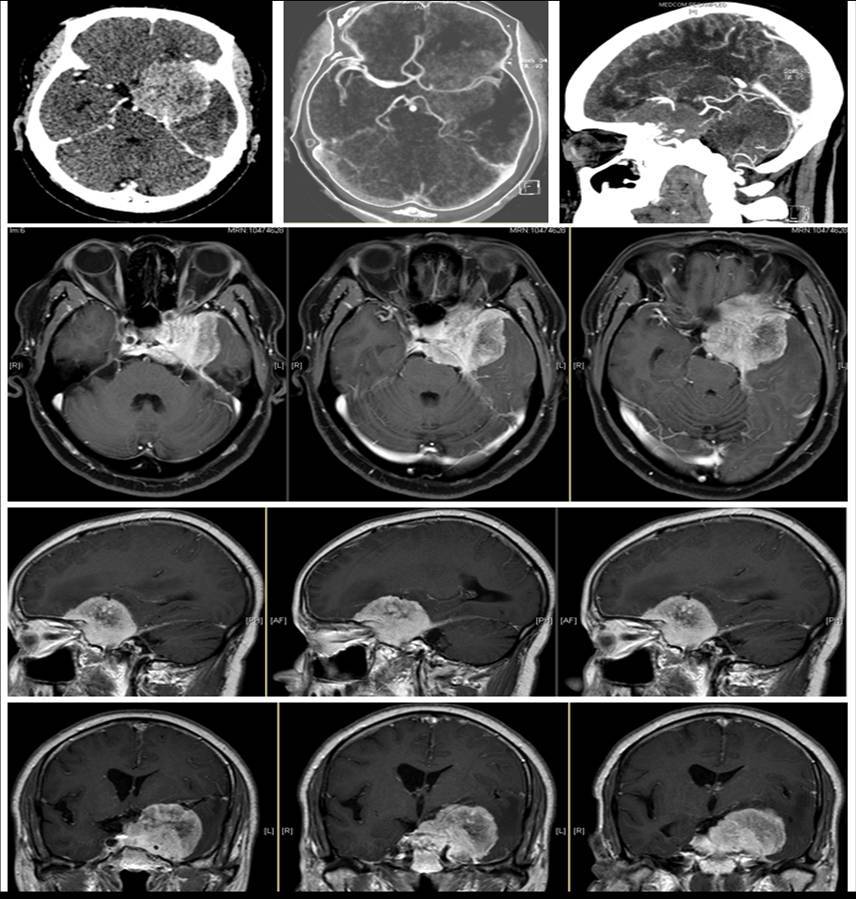
滨州市人民医院神经外科完成几例颅底肿瘤的分享及小结 —— 赵全成
图片尺寸1080x1472
颅底肿瘤我们的特色连外国人都很信赖
图片尺寸856x899
前颅底巨大肿瘤
图片尺寸2000x2688
神经外科团队成功实施一例大型颅底肿瘤切除术
图片尺寸2475x2456
神经外科团队成功实施一例大型颅底肿瘤切除术
图片尺寸2849x3214
前颅底巨大肿瘤
图片尺寸1200x1132
前颅底肿瘤显微切除手术
图片尺寸2736x3316
鼻腔鼻窦眶壁颅底肿瘤1例
图片尺寸750x1000
前颅底巨大肿瘤
图片尺寸2000x2387![[cns2018] 医科院肿瘤医院万经海: 颅底沟通性脑膜瘤的外科治疗](https://imgs.wantubizhi.com/img/A1A61BAA66193547F3A6DD7D8EE527E994F88F54E86C497782BB6F00E936CB872482632E68A1E222076EDC300584EBCE378F14B640714336CE4D3E02148859086351FE9D47B55A75F231D31D7E85D8BC6EE78AA0E0F22FB6A6417160E4B56AEC)
[cns2018] 医科院肿瘤医院万经海: 颅底沟通性脑膜瘤的外科治疗
图片尺寸960x720
可见三叉神经及内侧基底动脉患者于全麻下左侧颞下入路颅底肿瘤切除术
图片尺寸834x405