颅底ct平扫

头颅ct平扫
图片尺寸2592x1944
(1)颅脑ct平扫未见异常.
图片尺寸1919x2321
头ct平扫.jpg
图片尺寸2048x2048
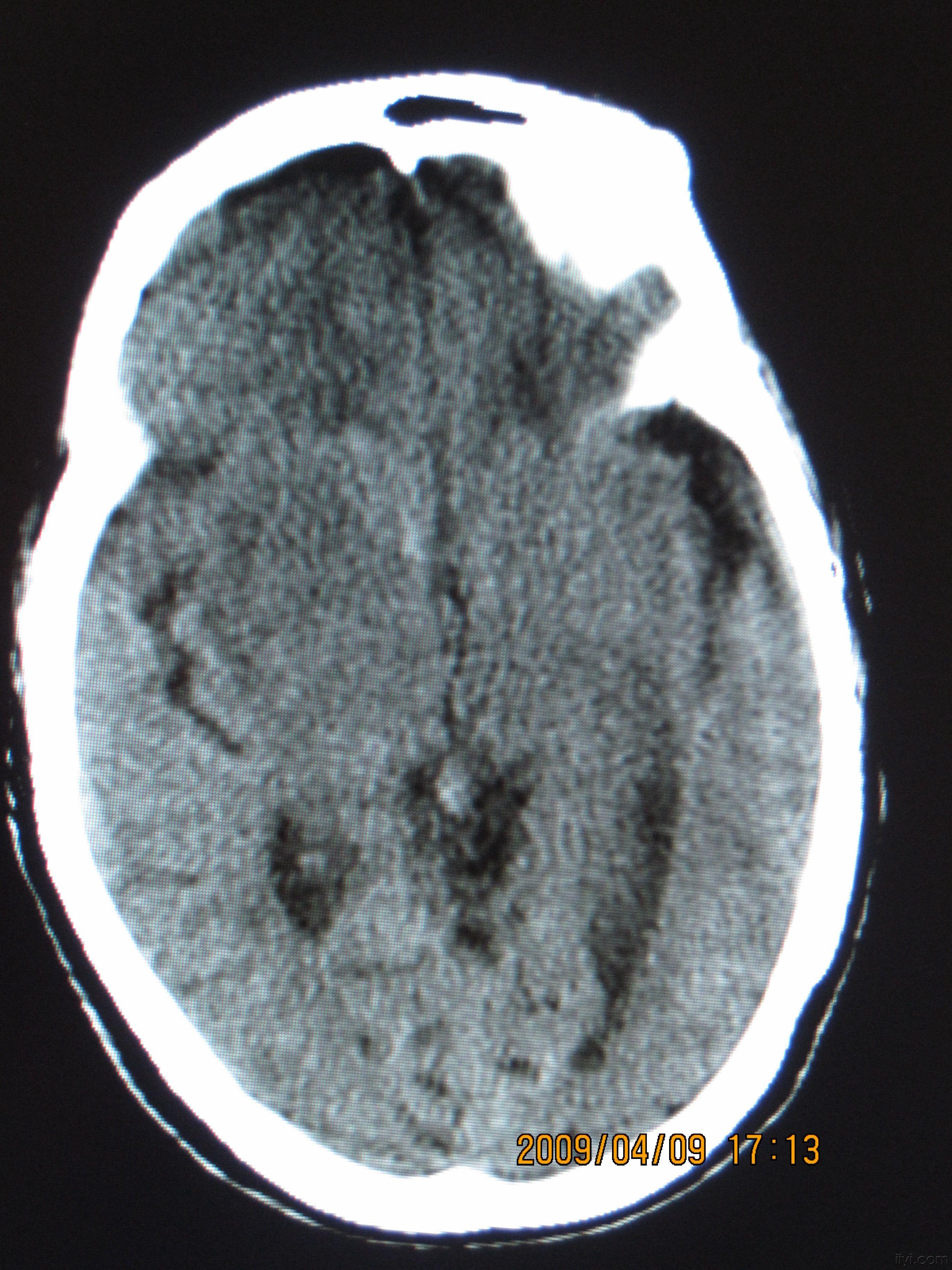
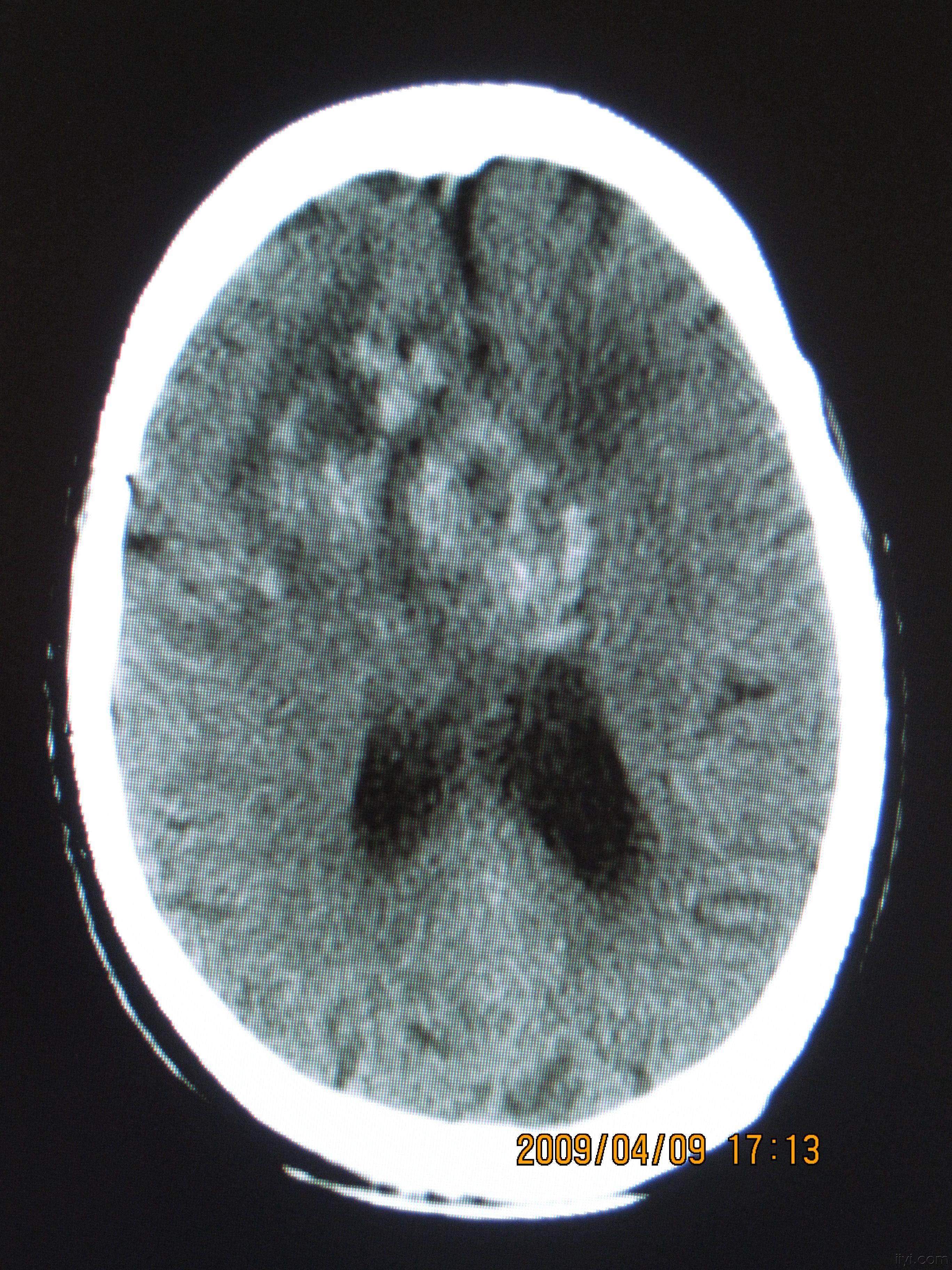
67超急性期大面积脑梗死ct平扫表现
图片尺寸854x944
影像学检查:ct平扫,增强及血管重建
图片尺寸1200x1600
2019年9月18日我院256排ct加增强 2019年9月18日我院mr颅底平扫
图片尺寸2000x2667
2019年9月18日我院256排ct加增强 2019年9月18日我院mr颅底平扫
图片尺寸2000x2667
67超急性期大面积脑梗死ct平扫表现
图片尺寸845x934
术前ct平扫
图片尺寸1918x2342
头颅核磁平扫(轴位像):右额颞等低信号占位.
图片尺寸2000x2422
【求助】颞骨ct平扫
图片尺寸639x428
2019年9月18日我院256排ct加增强 2019年9月18日我院mr颅底平扫
图片尺寸2667x2000
2019年9月18日我院256排ct加增强 2019年9月18日我院mr颅底平扫
图片尺寸2667x2000
颅脑ct平扫:左侧基底节区可见少许低密度影,aspect-9.
图片尺寸827x910
头颅ct平扫图象
图片尺寸2736x3648
头颅ct平扫图象
图片尺寸2736x3648
术前头颅ct平扫
图片尺寸938x1022
头颅ct平扫图象
图片尺寸2736x3648
颅底骨折大出血介入栓塞术
图片尺寸2000x2667
术前头颅ct平扫未见脑出血和新鲜梗死病灶
图片尺寸4032x3024