颅脑ct图像

(1)颅脑ct平扫未见异常.
图片尺寸1919x2321
请教各位战友头颅ct示右侧颞顶枕均有大片低密度影但患者无明显定位
图片尺寸1440x2560
术前ct片
图片尺寸1200x2133
颅内压监测在重型颅脑损伤中的临床应用一例
图片尺寸1920x2208
帮忙看脑部ct片.
图片尺寸3648x2736
原创颅脑ct片帮忙看看
图片尺寸2399x2714![【病例讨论】一例颅内多发占位,请大家会诊! [病例帖]](https://imgs.wantubizhi.com/img/A1A61BAA66193547F3A6DD7D8EE527E9B74281619E3E85CA1C910AB6B5EDC427CEB96A459B2740D7AE3B6494244EF479368467A5742C813998765D16575C1679D7C5B59F5378759DDA31AA9B3E8507E6CA52ED8805C6EA32B2BC1F3C7F671BD1)
【病例讨论】一例颅内多发占位,请大家会诊! [病例帖]
图片尺寸2370x1810
原创颅脑ct片帮忙看看
图片尺寸2637x2726
两例颅脑ct片
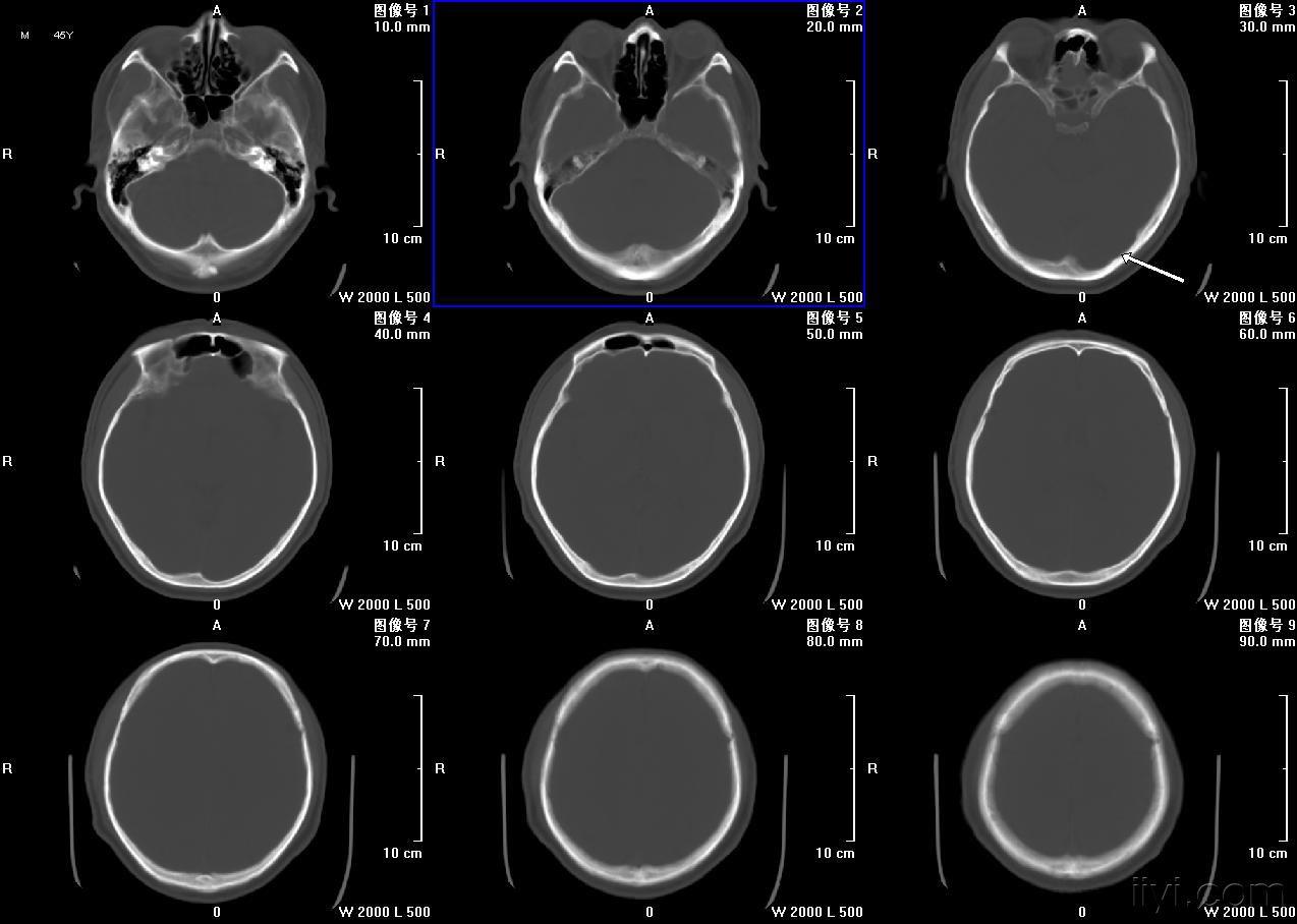
图片尺寸1274x908
收藏!影像医生必备 | 手把手教你读懂颅脑ct
图片尺寸1080x810
脑积水ct影像
图片尺寸1500x935![【读片】头痛2月,颅脑ct [病例帖]](https://imgs.wantubizhi.com/img/A1A61BAA66193547F3A6DD7D8EE527E9C60EBD84A416711F14040AC5E9B9638221B6D434C1204C29C91ADA2FF08BF9FBA8850DDAFAE3E7ADC54329560B87E27C968E2F48F6D9246432814FD7BE1E179E853B87450DB8368A84865AF82A8FAEDE)
【读片】头痛2月,颅脑ct [病例帖]
图片尺寸3072x2304
头ct平扫.jpg
图片尺寸2048x2048
颅脑ct怎么看正常和异常影像分别是什么
图片尺寸1080x542
脑ct
图片尺寸2000x2667
病人入院时头颅ct片,右侧基底节出血量12毫升,出血不多,病人神志清醒
图片尺寸1199x1599
脑部ct
图片尺寸3456x2304
ct提示左侧基底节,丘脑,颞叶,枕叶广泛性脑出血.
图片尺寸3024x4030
下面是发病当时的颅脑ct
图片尺寸2791x1441
脑ct
图片尺寸2000x2667