颈突

颈椎的功能解剖与颈椎病分型诊断
图片尺寸959x719
浅筋膜,深筋膜,茎突旁-颈静脉孔下并发症①迷走神经阻滞可引起同侧
图片尺寸299x302
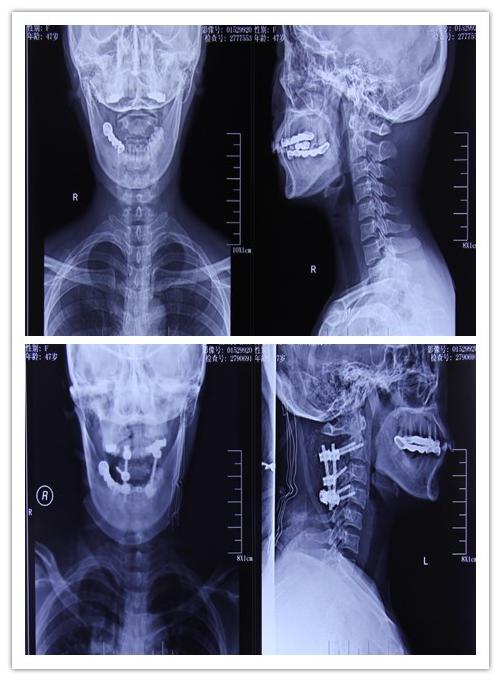
治"颈突"填空白——泰安市中心医院巧用微创治"颈突" 创口不足1厘米
图片尺寸502x623
mulligan自我康复之颈椎篇
图片尺寸499x491
颈椎解剖结构一览
图片尺寸600x600
常见颈突错误训练
图片尺寸1080x2376
贺晓生教授:枕颈交界区多发神经鞘瘤
图片尺寸501x681
颈椎间突出严重嘛需要手术吗
图片尺寸1080x1439
正品 可调式香港medex护颈 颈托颈椎矫正护颈带固定 围领 脖套
图片尺寸600x591
颈椎生理曲度变直,有压迫神经的趋势么?
图片尺寸720x960
颈突症
图片尺寸127x200
看协和医科大描述颈椎病
图片尺寸400x286
但凡产生疼痛的的颈突腰突脊柱侧弯训练都是错误的不会看到好转迹象
图片尺寸1080x2376
颈椎滑脱,颈突骨折(张口位)
图片尺寸1252x1252
在第2颈椎棘突剪一缺口:用骨剪将第2颈椎棘突上方自基底部呈"v"形剪除
图片尺寸399x378
医生说我颈突没压到神经 和诊断证明不一样
图片尺寸1080x1440
颈突神经卡压疼痛部位分析
图片尺寸821x502
3d打印小模型快速理解茎突综合征
图片尺寸828x550
学了个新知识斯哈斯哈00
图片尺寸1080x739
"颈突""腰突",需要用它_温发怎么样_医疗健康_医疗健康其他
图片尺寸1080x1438