颧骨ct

入院后给予颧骨三维成像ct检查,提示:右侧颧弓骨折,断端前部向内移位
图片尺寸1154x1449
颧骨平扫ct示:颧弓复位可,连续性良好,钛板固定密合,钛钉无脱位.
图片尺寸1991x2819
分享一下自己的ct图 做了颧骨颧弓 下颌角长曲线还_圈子-新氧美容整形
图片尺寸960x720
术前ct.jpg
图片尺寸1024x305
颧骨颧弓前端截骨后ct断层所留下的痕迹
图片尺寸600x576
教你看ct失败这个准备做颧骨颧弓修复的常问吉玟锡杨君毅郑康在河东镐
图片尺寸1280x1598
体验项目颧骨内推颧弓降低下颌角超长截骨
图片尺寸640x853
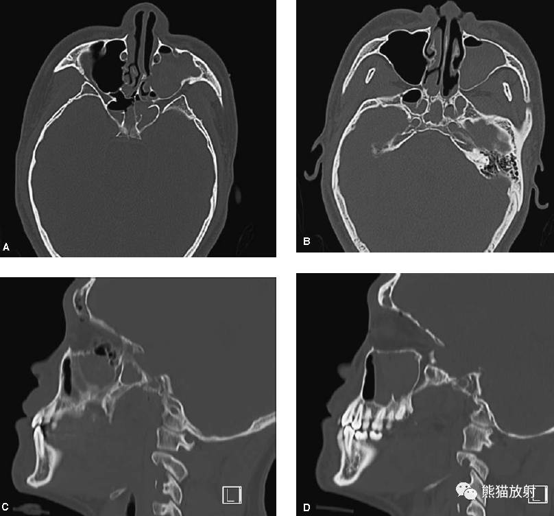
查体 辅查 右欢面部肿胀.ct示右颧弓骨折
图片尺寸600x600
【急诊】颧骨骨折,上颌骨骨折ct表现_医学界-助力医生临床决策和职业
图片尺寸808x752
颧骨骨折
图片尺寸2345x2000
我这种脸型是颧骨不对称,下颌角大小也_新氧-专业医美服务平台
图片尺寸4032x3024
三维ct示:颧骨骨折段复位良好,钛板固定可.
图片尺寸4032x3024
成都东篱李运峰颧骨颧弓ct俯拍
图片尺寸500x361
面部ct到底一年可以拍几次才会不影响我们的身体
图片尺寸960x1280
哪位医生帮我看看这个ct,看看如果不做修复的话,颧骨会怎么样
图片尺寸570x427
颧骨骨折
图片尺寸3024x4032
这张图片中的颧骨处受伤严重不严重?构不构成轻伤?
图片尺寸3120x4208
原来已经做过手术了,我看了一下她的 ct,惊呆了,颧骨错位,居然没有钛
图片尺寸795x899
颧弓骨折一例
图片尺寸1024x1005
夜班不求人——颅骨骨折(下)_颧骨
图片尺寸523x653