食管在ct中的位置图片

经食道ct检查发现,张先生的食管上段,有一个异物,两端尖锐,很有可能
图片尺寸852x694
胸部ct:食管中上段部分管壁不规则增厚,考虑食管癌;邻近周围多发肿大
图片尺寸735x408
咽喉科主任崔鹏为赵先生安排了ct检查,结果显示,枣核卡在了食管上段
图片尺寸512x512
鱼刺刺入食道焦虑万分,手术联合胃镜化险为夷
图片尺寸1080x1076
食道癌科普及影像分析_举报
图片尺寸960x720
食管"堵住了" 食管重复囊肿一例
图片尺寸640x449
惊!8月龄宝宝食道内藏硬质贴画,真相是
图片尺寸800x800
有图有真相一文掌握食管癌影像学诊断要点
图片尺寸640x434
考虑食管异物可能,急查颈部ct结果提示食管上段异物影,且穿透食道管壁
图片尺寸550x413
ct:食管上段扩张ct:食管下段粘膜增厚,管腔闭塞不显示上消化道造影
图片尺寸1080x810
食管癌同步放化免疫治疗(非研究病例)
图片尺寸1126x1502
《医学影像学》课件ppt 如题,值得一看 食管 粘膜相 充盈相 dc相 ct
图片尺寸1080x810
我们不一样男子食道被卡就医检查发现所有内脏位置均与常人相反
图片尺寸750x750
食管异物致纵隔积气患者内镜治疗1例
图片尺寸512x512
惊羊骨入喉险酿大祸医生食管异物应及时就医
图片尺寸800x600
ct检查发现食管癌病灶较大7x5cm,已压迫气管分叉及左右主支气管,尤其
图片尺寸2137x1200
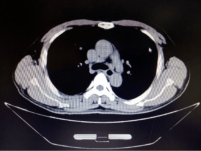
ct示:食管异物!
图片尺寸3022x4030
"胃镜发现他的食管有占位伴有胆汁反流,随后的食道ct显示他食管中下段
图片尺寸1000x656
ct检查提示:c6-7水平食管内见线状高密度,长度约3cm,似见穿透外膜,与
图片尺寸698x441
复查ct:食管化疗后,胸中下段管壁略见增厚,最厚处约为0.7cm(201.
图片尺寸813x611