食管癌显微镜下图片

食管表浅鳞状细胞癌的内镜下诊断
图片尺寸903x893
食管表浅鳞状细胞癌的内镜下诊断
图片尺寸811x637
食管表浅鳞状细胞癌的内镜下诊断
图片尺寸870x860
早期食管鳞状细胞癌浸润深度的放大内镜分类
图片尺寸1080x616
食管表浅鳞状细胞癌的内镜下诊断
图片尺寸861x251
由病例入手谈谈颈段早期食管癌内镜诊治
图片尺寸600x470
切片机切成薄片,再用苏木精-伊红(h-e)染色〕,用显微镜进一步检查病变
图片尺寸812x666
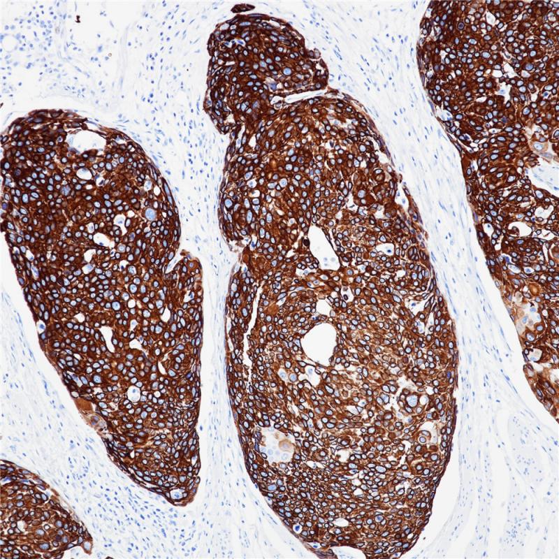
食管鳞癌 ck14 (bp6052) 染色
图片尺寸800x800
食管癌
图片尺寸500x375
由病例入手谈谈颈段早期食管癌内镜诊治
图片尺寸1080x846
早期食管癌内镜诊断
图片尺寸1080x955
病理:(食管)鳞状细胞原位癌.
图片尺寸821x965
早期食管癌:内镜错误评估病例
图片尺寸692x900
癌症知多少(37)早期食管癌不开刀也能治好
图片尺寸600x450
食管癌病理精华多图大盘点
图片尺寸899x334
早期食管癌的内镜诊断
图片尺寸400x349
内镜下射频消融治疗早期食管鳞癌
图片尺寸628x511
6个精彩病例带你领略早期食管癌的内镜下诊治
图片尺寸576x252
6个精彩病例带你领略早期食管癌的内镜下诊治
图片尺寸596x263
显微镜下食管横切面组织图片下载
图片尺寸612x408