驼峰肾

左侧驼峰肾?
图片尺寸600x800
左肾临近脾脏区域特别多见驼峰肾表现.注意!4.
图片尺寸828x561
图8-9:单峰驼峰肾(dromedary hump),from nephropocus.
图片尺寸900x506
图8-9:单峰驼峰肾(dromedary hump),from nephropocus.
图片尺寸900x506
肾脏先天发育异常影像学诊断
图片尺寸1051x371
变异 normal variation 肥大肾柱:正常肾皮质折叠/增厚 驼峰肾
图片尺寸1080x810
21种泌尿系统先天发育异常影像表现
图片尺寸1080x810
肾,超声摄影的人肾在子宫里
图片尺寸1023x682
肾内病理图解 | 膜性肾病
图片尺寸556x371
肾小球肾炎,肾病综合征精品课件 病理 上皮侧可见"驼峰状沉积物溶解
图片尺寸1080x810
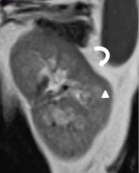
22 无特殊症状,查体偶然发现,等后续超声图像……第一幅左侧驼峰肾
图片尺寸338x450
驼峰肾,马蹄肾,煎饼肾.肾脏结构异常 ct 图像,你都认识吗?
图片尺寸689x236
阅读下面两张图片(电镜箭头示上皮下驼峰状电子致密物沉积)后,其病理
图片尺寸313x351
驼峰肾,马蹄肾,煎饼肾.肾脏结构异常 ct 图像,你都认识吗?
图片尺寸583x265
驼峰肾,马蹄肾,煎饼肾.肾脏结构异常 ct 图像,你都认识吗?
图片尺寸278x345
肾脏驼峰征(8)低回声晕(hypoechoic halo sign):肝肿瘤周围的薄层低
图片尺寸1080x379
驼峰肾,马蹄肾,煎饼肾.肾脏结构异常 ct 图像,你都认识吗?
图片尺寸490x609
2013年版急性肾小球肾炎ppt
图片尺寸1080x810
22 无特殊症状,查体偶然发现,等后续超声图像……第一幅左侧驼峰肾
图片尺寸600x800
肾内科学医学高级肾病综合征章节练习20161008
图片尺寸302x358